Ngày đăng: 04/03/2026Do you ever experience bleeding while brushing your teeth? Do not ignore it! This could be a primary sign of gingivitis—a very common oral condition that is completely reversible if detected and treated early.
1. What is Gingivitis?
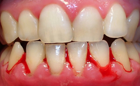
Gingivitis is the inflammation of the gingiva (gum tissue) surrounding the teeth. It affects people of all ages and is prevalent in over 80% of the population. With timely treatment and proper care, gingivitis can be fully cured.

2. Common Causes
· Dental plaque and calculus (tartar): Accumulations that harbor harmful bacteria.
· Poor oral hygiene: Inadequate brushing or flossing habits.
· Dental issues: Tooth decay or misaligned teeth (crowding).
· Hormonal changes: Occurring during puberty, pregnancy, or menstrual cycles.
· Systemic diseases: Conditions such as diabetes or blood disorders.
· Medication side effects: Certain drugs can affect gum health.
· Allergies: Reactions to specific foods, toothpastes, or mouthwashes.

3. Recognizing the Signs
Common symptoms:
· Bleeding during brushing or flossing.
· Swollen, red, or tender gums.
· Persistent bad breath (halitosis).
· Mild discomfort in the gum area.
Clinical findings (during dental examination):
· Presence of plaque and tartar.
· Soft, friable gums that bleed easily.
· Abnormalities in teeth or dental restorations (fillings).
4. Treatment and Management
Professional treatment at medical facilities:
· Scaling and Polishing: Professional cleaning to remove plaque and tartar.
· Source Control: Addressing underlying causes that irritate the gums.
· Medication: Use of prescribed drugs as directed by a specialist when necessary.
Home care:
· Proper Brushing: Brush at least twice a day using the correct technique.
· Interdental Cleaning: Use dental floss or a water flosser daily.
· Mouthwash: Use appropriate oral rinses as advised by your dentist.
· Nutrition: Maintain a balanced diet to boost the body's resistance.
5. Prevention
· Maintain rigorous daily oral hygiene.
· Schedule routine dental check-ups every 6 months.
· Seek early treatment for cavities and other oral health issues.
📍 Visit the Odonto-Stomatology Department
· Location: Building K1, Bach Mai Hospital.
· Address: 78 Giai Phong St., Kim Lien Ward, Dong Da Dist., Hanoi.
· Working Hours: 07:30 AM – 04:30 PM (Monday – Friday).
· Hotline: 0869 587 708.
BSCKII. Lê Bảo Trâm