Gọi tổng đàiĐặt lịch khám
Bệnh viện Bạch MaiNgày đăng: 16/10/2023

Case lâm sàng: Điều trị bệnh nhân ung thư phổi tế bào nhỏ tại Trung tâm Y học hạt nhân và Ung bướu, Bệnh viện Bạch Mai

16/10/2023
1825 lượt xem
Bài viết chuyên môn

Ung thư phổi là một trong những loại loại ung thư phổ biến, có tỷ lệ mắc và tỉ lệ tử vong  rất cao ở nam giới, nhưng thường được chẩn đoán ở giai đoạn muộn. Theo GLOBOCAN 2020, số ca được chẩn đoán ung thư phổi mới là hơn 2,2 triệu ca đứng hàng thứ 2 về tỉ lệ mắc mới.

Ung thư phổi được chia thành ung thư phổi không tế bào nhỏ và ung thư phổi tế bào nhỏ (Small cell lung cancer: SCLC). SCLC chiếm khoảng 15% ung thư phổi, khoảng 70% bệnh nhân lúc chẩn đoán đã ở giai đoạn lan tràn. SCLC tiên lượng thường rất xấu, nếu không điều trị thời gian sống trung bình từ khi chẩn đoán chỉ từ 2 đến 4 tháng. Hóa trị và xạ trị là hai phương pháp chủ yếu trong điều trị SCLC. Mặc dù SCLC đáp ứng tốt với hóa trị (tỷ lệ đáp ứng là 70-80% với khoảng 50% bệnh nhân đáp ứng hoàn toàn với hóa trị ở giai đoạn khu trú) nhưng tỉ lệ sống sau 5 năm chỉ từ 5% đến 10% do bệnh tái phát.

Sau đây chúng tôi xin trình bày một trường hợp lâm sàng bệnh nhân mắc ung thư phổi tế bào nhỏ đáp ứng hoàn toàn sau điều trị.

Họ và tên: N.T.L;                   Giới: Nữ;                       Tuổi: 66

Lý do vào viện: Đau ngực trái, ho khan

Tiền sử: Đái tháo đường typ 2 đang điều trị thuốc theo chuyên khoa nội tiết.

Bệnh sử: Bệnh nhân ở nhà xuất hiện đau ngực trái tăng dần khoảng 15 ngày kèm theo ho khan, không sốt, không khó thở, chưa điều trị gì tại nhà. Bệnh nhân đi khám chụp X-quang tình cờ phát hiện khối u ở phổi trái nên được chuyển đến Bệnh viện Bạch Mai để khám, chẩn đoán và điều trị.

Tình trạng lúc vào viện:

Bệnh nhân tỉnh, G 15 điểm

Toàn trạng: ECOG 2 (*)

Chiều cao: 155cm; cân nặng: 54kg

Đau ngực trái: VAS 5-6 điểm (*)

Không có triệu chứng của các cơ quan khác

(* Chú thích: chỉ số ECOG đánh giá triệu chứng lâm sàng và khả năng hoạt động của bệnh nhân, mức 0 điểm tương ứng với không có triệu chứng và hoạt động bình thường, mức 4 điểm tương ứng với có nhiều triệu chứng và nằm toàn bộ thời gian; thang điểm VAS là thang điểm giá trị đo lường cường độ đau có giá trị từ 0-10, ở mức 0 là không đau và mức 10 là đau dữ dội không thể chịu nổi).

Xét nghiệm cận lâm sàng:

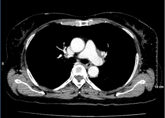
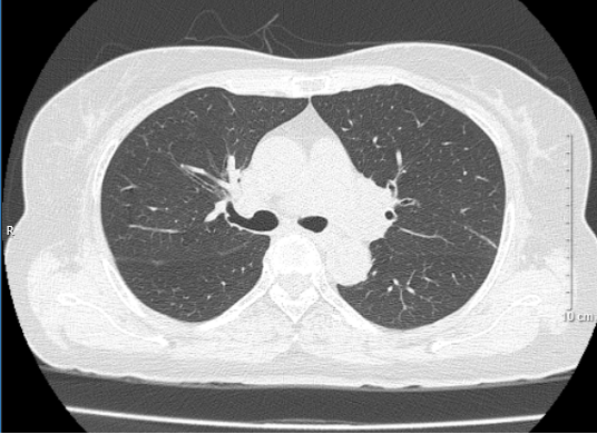
  • Chụp cắt lớp vi tính lồng ngực: Trung thất giữa cạnh trái khí quản, rốn phổi trái có khối u với  kích thước 35 x 36 mm, bờ thùy múi, ngấm thuốc không đồng nhất, ôm quanh mạch máu lân cận. Nốt đặc thùy trên phổi trái có đường kính khoảng 10 mm, bờ đều, ranh giới rõ. Không có hạch trung thất.

Hình 1: Hình ảnh cắt lớp vi tính lồng ngực lúc mới chẩn đoán (mũi tên xanh: khối ở trung thất giữa; mũi tên đỏ: nốt đặc ở phổi cùng bên).

  • Bệnh nhân được sinh thiết xuyên thành ngực khối u phổi dưới hướng dẫn chụp cắt lớp vi tính, kết quả mô bệnh học và hóa mô miễn dịch: ung thư biểu mô tế bào nhỏ.

  • Chụp cắt lớp vi tính ổ bụng:  chưa phát hiện tổn thương thứ phát

  • Chụp cộng hưởng từ sọ não:  chưa phát hiện tổn thương thứ phát

  • Xét nghiệm chất chỉ điểm u ProGRP: 773,99 ng/l, tăng rất cao so với mức bình thường (<50 ng/ml).

Chẩn đoán xác định: Ung thư phổi tế bào nhỏ, giai đoạn khu trú, T4N0M0/Đái tháo đường typ 2.

Điều trị: Bệnh nhân có thể trạng kém, nên không thể tiến hành hóa xạ trị đồng thời. Vì vậy bệnh nhân đã được chỉ định điều trị hóa chất trước để giảm bớt triệu chứng cho bệnh nhân sau đấy sẽ cân nhắc xạ trị.

  • Hóa trị theo phác đồ (chu kỳ 21 ngày):
  •  Etoposid 100 mg/m2, truyền tĩnh mạch ngày 1-3
  •  Carboplatin 300 mg/m2, truyền tĩnh mạch ngày 1

Đánh giá đáp ứng sau điều trị:

  • Lâm sàng:
  •  Trước điều trị: Bệnh nhân đau ngực VAS 5-6 điểm, ho khan, ECOG 2
  • Sau 1 chu kì hóa trị: Bệnh nhân đỡ đau ngực, còn đau ngực âm ỉ, giảm ho khan, ECOG 1
  • Sau 2 chu kì hóa trị: Bệnh nhân hết đau ngực, không ho khan, ECOG 0
  • Sau 3 chu kì hóa trị: Bệnh nhân không đau ngực, không ho khan, ECOG 0
  • Xét nghiệm chất chỉ điểm u: Sau điều trị, chỉ số ProGRP giảm nhanh về gần mức mình thường, tương ứng với đáp ứng điều trị của bệnh nhân.
 Chỉ số  Trước điều trị  Sau điều trị 1 chu kì  Sau điều trị 3 chu kì
 ProGRP (ng/l)  773,9  152,4  77,8

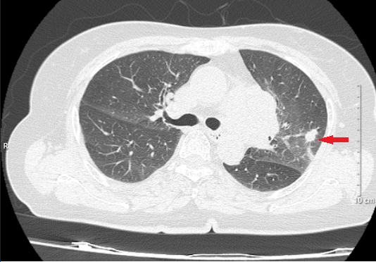
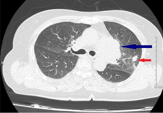
  • Hình ảnh chụp cắt lớp vi tính lồng ngực sau 3 chu kì điều trị: Không thấy tổn thương khu trú hoặc lan tỏa nhu mô hai phổi. Không có hạch trung thất.

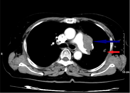
 Hình 2: Hình ảnh trước điều trị (bên trái): Hình ảnh khối u và tổn thương di căn phổi cùng bên (mũi tên đỏ). Hình ảnh sau điều trị (bên phải): không còn khối u sau 3 chu kì điều trị

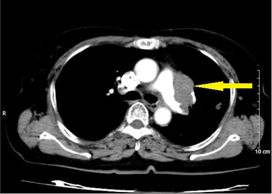
Hình 3: Hình bên trái (trước điều trị): Hình ảnh khối u (mũi tên vàng). Hình bên phải (sau điều trị): không còn tổn thương di căn phổi cùng bên sau 3 chu kì điều trị 

Trong quá trình điều trị bệnh nhân xuất hiện một số tác dụng phụ: nôn, mệt mỏi, chán ăn, chưa phát hiện các tác dụng phụ khác.

Hiện tại bệnh nhân đã điều trị 3 chu kì hóa chất và tiếp tục được điều trị tiếp theo phác đồ hiện tại kết hợp với xạ trị tại chỗ.

GS. TS Mai Trọng Khoa; PGS. TS Phạm Cẩm Phương;

BSCK.II Lê Viết Nam; BSNT Cao Văn Trung - Trung tâm YHHN&UB, BV Bạch Mai


Banner 1Banner 2