Ngày đăng: 13/08/2025Tác giả: BSCKII.Nguyễn Thị Cẩm Vân- Khoa Răng Hàm Mặt Rạn men răng là một tổn thương mô cứng có tính chất lành tính, xuất hiện trong quá trình lão hoá sinh lý ở người cao tuổi. Tuy nhiên, càng ngày càng có sự trẻ hoá về độ tuổi xuất hiện rạn men răng, khi các đường rạn dần có mật độ xuất hiện dày đặc hơn ở lứa tuổi trung niên.
Nguyên nhân của các đường rạn trên chính là sự suy giảm module đàn hồi của men và ngà răng, trong khi độ giòn lại tăng dần, dẫn tới răng xuất hiện các đường rạn do sự mỏi cơ học, và khả năng kháng lại với sự thay đổi ứng suất nhiệt là rất kém. Các yếu tố thuận lợi có thể làm xuất hiện rạn men răng có thể kể tới như sai khớp cắn, chế độ ăn uống giàu carbohydrate, hoặc các bệnh lý làm xuất hiện acid ngoại sinh,…
Triệu chứng cơ năng, triệu chứng thực thể và cận lâm sàng
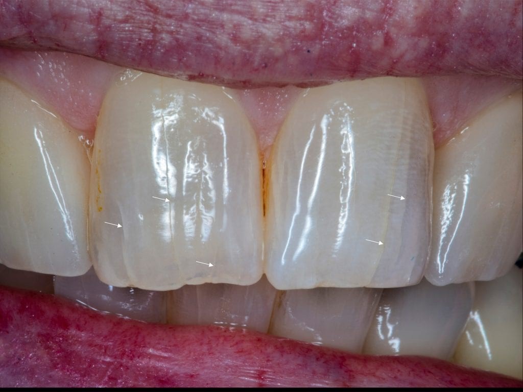
Các tổn thương rạn men răng xuất hiện đặc trưng ở nhóm răng cửa và nhóm răng hàm nhỏ với các đường rạn chạy dọc theo mặt ngoài các răng. Theo thời gian, các đường rạn có thể bị nhiễm màu ngoại sinh với các lõm dọc phổ màu từ vàng tới nâu đen. Dưới các lát cắt kính hiển vi quang học, người ta thấy rằng các tổn thương rạn men chỉ nằm khu trú ở bề mặt men răng, không vượt quá đường ranh giới men ngà. Các đường rạn men răng thường không gây ê buốt, đau đớn và không ảnh hưởng nhiều tới chức năng ăn nhai, tuy nhiên, sự xuất hiện các rãnh lõm dọc thân răng này ảnh hưởng tới vấn đề thẩm mỹ.

Rạn men răng là các đường lõm dọc khu trú trên mặt ngoài ở men răng
Chẩn đoán
Việc chẩn đoán phân biệt các tổn thương rạn men răng cần phối hợp cận lâm sàng và thăm khám tiền sử bệnh sử. Thông thường, các đường rạn men răng chỉ được phát hiện tình cờ khi thăm khám, không gây cảm giác đau nhức, ê buốt, khó chịu cho bệnh nhân. Phân biệt với các tổn thương nứt vỡ khác bởi tiền sử chấn thương như va đập, ngã….., tiền sử điều trị và các triệu chứng cơ năng. Thăm khám bởi ánh sáng xuyên thấu cho thấy, các đường rạn men răng xuất hiện dưới dạng “vệt tối” nhưng sự xuyên thấu ánh sáng trên bề mặt răng là đồng nhất. Đây là yếu tố chỉ điểm để phân biệt rạn men và các đường nứt, gãy răng thường quy, thường là các đường gãy tiến triển sâu tới ngà và các mô cứng khác.
|
|
|
|
Rạn men răng, với sự truyền sáng đồng nhất trên bề mặt răng |
Tổn thương nứt vỡ răng có tiến triển tới ngà, đặc trưng là sự truyền sáng bị đứt gãy tại đường nứt, khiến bên chiếu sáng hấp thụ hết lượng ánh sáng đơn sắc, trong khi nửa còn lại bên đường gãy lại tối màu hơn |
|
|
Điều trị
Các đường rạn men thường được cho là lành tính nên không có chỉ định điều trị. Tuy nhiên, với quan điểm hiện tại, 1 số lý do khiến việc điều trị các đường rạn là quan trọng do:
Các đường rạn men là địa điểm cư trú lý tưởng cho vi khuẩn, các tổn thương có thể mở rộng vượt qua ranh giới men ngà, ảnh hưởng tới nội phần của răng, khiến các tổn thương sâu răng, tổn thương tuỷ răng xuất hiện.
Việc xuất hiện rạn men ở vùng răng trước gây ảnh hưởng xấu tới chất lượng nụ cười
Các đường rạn có tỷ lệ xuất hiện cao hơn với những người mắc hội chứng ngưng thở khi ngủ do tắc nghẽn
Với phương pháp điều trị xâm lấn tối thiểu, các đường rạn men có thể được điều trị bằng phương pháp thẩm thấu nhựa. Việc sử dụng các loại nhựa có độ lỏng nhớt cao, khả năng thấm sâu vào các đường rạn, và có hệ số chiết quang tỷ đối ngang với men răng, đặc biệt là tiết kiệm mô cứng một cách tối đa, sẽ cải thiện được chất lượng nụ cười, gia cố vững chắc men răng, ngăn ngừa sự xuất hiện các bệnh lý thứ phát. Ngoài ra, một số các can thiệp khác cũng có thể được chỉ định như phục hồi composite, veneer sứ,…… Các phục hồi chụp toàn phần thường được cân nhắc chỉ định trong các tình huống lâm sàng phù hợp khác, tuy nhiên nhược điểm lớn nhất vẫn là sự tổn hại tới tổ chức cứng quá nhiều.

Hình ảnh trước và sau khi điều trị các đường rạn men
Tầm quan trọng của thăm khám và chăm sóc sức khoẻ răng miệng định kỳ:
Thăm khám định kỳ có thể phát hiện được cán đường rạn men kịp thời, ngăn chặn sự tiến triển tổn thương sâu vào lớp ngà răng và các bệnh lý thứ phát
Việc tầm soát Hội chứng ngưng thở khi ngủ do tắc nghẽn là rất quan trọng, sự xuất hiện các đường rạn men có thể là yếu tố hỗ trợ chẩn đoán.
Khắc phục kịp thời tình trạng thiếu tự tin do thẩm mỹ, chi phí điều trị tiết kiệm, thời gian điều trị nhanh.
|
Bệnh nhân có nhu cầu khám và điều trị chuyên khoa có thể đăng ký khám tại Nhà K1 hoặc Nhà F – Bệnh viện Bạch Mai, số 78 Giải Phóng, phường Kim Liên, Hà Nội. Số điện thoại Hotline: 0869.587.708 |