Gọi tổng đàiĐặt lịch khám
Bệnh viện Bạch MaiNgày đăng: 30/10/2009

Xạ trị ung thư bằng máy gia tốc tuyến tính (LINAC)

30/10/2009
22739 lượt xem
Tin trong ngành
Hiện nay bệnh ung thư đang là một trong những bệnh xã hội nguy hiểm với mức độ phát triển rất nhanh trên thế giới nói chung và Việt Nam nói riêng.

Ở Việt Nam, ước tính mỗi năm có khoảng từ 150.000 đến 200.000 trường hợp mắc mới và khoảng 75.000 người chết do ung thư. Do đó, việc chẩn đoán và điều trị ung thư có vai trò vô cùng quan trọng trong chương trình Phòng chống ung thư ở mọi quốc gia. Và việc trang bị thiết bị điều trị, lựa chọn phác đồ, phương pháp điều trị thích hợp là rất cần thiết.

xa_phau_1.jpg

Xạ trị ung thư
bằng máy gia tốc tuyến tính (LINAC)

1. Vì sao phải dùng máy gia tốc để xạ trị từ xa (xạ trị chiếu ngoài):

Hiện nay bệnh ung thư đang là một trong những bệnh xã hội nguy hiểm với mức độ phát triển rất nhanh trên thế giới nói chung và Việt Nam nói riêng. Ở Việt Nam, ước tính mỗi năm có khoảng từ 150.000 đến 200.000 trường hợp mắc mới và khoảng 75.000 người chết do ung thư. Do đó, việc chẩn đoán và điều trị ung thư có vai trò vô cùng quan trọng trong chương trình Phòng chống ung thư ở mọi quốc gia. Và việc trang bị thiết bị điều trị, lựa chọn phác đồ, phương pháp điều trị thích hợp là rất cần thiết. Có ba phương pháp điều trị ung thư cơ bản - các phương pháp này có thể áp dụng riêng rẽ hoặc kết hợp với nhau để đạt hiệu quả điều trị cao nhất:

  • Phẫu thuật
  • Xạ trị
  • Hóa trị

xa_phau_2.jpg Trong đó, xạ trị là một phương pháp rất hiệu quả, đã và đang phát triển trên toàn thế giới và tại Việt Nam. Xạ trị có thể được thực hiện điều trị đơn thuần hoặc kết hợp với phẫu thuật và hóa trị để loại bỏ hoàn toàn khối u, góp phần làm giảm các triệu chứng đau đớn trên cơ thể người bệnh.

Phương pháp xạ trị hiện đại và phổ biến trên thế giới hiện nay là xạ trị chiếu ngoài (Radiotherapy) sử dụng máy gia tốc tuyến tính LINAC (Linear Accelerator) - phương pháp rất hữu hiệu trong điều trị ung thư.

Tháng 07/2007, Trung tâm Xạ trị - Khoa Y học hạt nhân và U bướu - Bệnh viện Bạch Mai được trang bị hệ thống gia tốc tuyến tính Primus thế hệ mới nhất với nhiều ưu điểm nổi bật của hãng Siemens - một trong những hãng sản xuất thiết bị y tế tốt nhất thế giới.Hệ thống này được lắp đặt đồng bộ với máy CT mô phỏng, máy SPECT và dao Gamma quay và các phần mềm hỗ trợ điều trị ung thư tốt nhất thế giới. hệ thống có thể định vị chính xác vị trí, kích thước và tọa độ của khối u cũng như tổn thương trên cơ thể. Từ đó các thầy thuốc sẽ đưa ra giải pháp tối ưu nhất để điều trị cho người bệnh.

xa_phau_3.jpg

2. Khả năng điều trị ung thư của máy gia tốc tuyến tính

xa_phau_4.jpgMáy gia tốc tuyến tính Primus của hãng SIEMENS được sản xuất với tiêu chuẩn kỹ thuật cao để điều trị hầu hết các bệnh ung thư:

Năng lượng electron trực tiếp của Primus được sử dụng trong điều trị các tổn thương nông và khối u ở sát bề mặt với độ nông sâu khác nhau như ung thư da và ung thư vú.

xa_phau_5.jpgNăng lượng photon dùng dể điều trị khối u ở độ nông sâu khác nhau như u vùng tai mũi họng, vùng cổ, u phổi, u trung thất, các khối u vùng bụng và tiết niệu, khối u xương, não, đầu, cổ, ngực, phổi, hạch bạch huyết, tuyến tụy, xương chậu và các bệnh ở trẻ em..

Với những ưu điểm này, máy Primus có thể điều trị hiệu quả khối u ở mọi vị trí: trong não, đầu mặt cổ, phổi, các tạng trong ổ bụng, hạch bạch huyết... 

3. Chỉ định điều trị

Máy gia tốc tuyến tính Primus của Trung tâm xạ trị - Khoa Y học Hạt nhân và Ung Bướu - Bệnh viện Bạch Mai được chỉ định điều trị các khối u trên toàn cơ thể:

  • U não, đặc biệt là sau mổ các khối u ác tính, lành tính không cắt bỏ được bằng phẫu thuật (u còn sót lại sau phẫu thuật)
  • Ung thư vùng hàm mặt
  • Ung thư vòm họng
  • Ung thư hạ họng thanh quản
  • Ung thư phổi
  • U trung thất
  • Ung thư thực quản
  • Ung thư dạ dày
  • Ung thư trực tràng ống hậu môn
  • Ung thư tụy
  • Ung thư thân tử cung, cổ tử cung
  • Ung thư tinh hoàn
  • Ung thư tuyến tiền liệt
  • Ung thư bàng quang
  • Ung thư vú
  • Ung thư hệ tạo bạch huyết
  • U lympho ác tính không Hodgkin
  • Bệnh Hodgkin
  • U sùi dạng nấm 

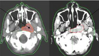
4. Một số kết quả điều trị

Hình ảnh trước và sau

xa_phau_6.jpg

Ungthubachmai.com

 


Banner 1Banner 2