Ngày đăng: 21/11/2023Bệnh thường tiến triển âm thầm, khi đã có triệu chứng bệnh thường đã ở giai đoạn muộn, bướu đã xâm lấn và có khả năng di căn xa. UTTTL là một trong những ung thư có khả năng dẫn đến di căn xương cao nhất, tình trạng di căn xương xảy ra ở 60% trường hợp UTTTL giai đoạn cuối. Các xương thường bị di căn tới bao gồm: xương cột sống, xương cánh chậu, xương sườn, xương đùi…
Khi ung thư đã lan ra ngoài tuyến tiền liệt, mục tiêu chính của việc điều trị là làm chậm sự lây lan đến xương và kiểm soát các triệu chứng, ngăn ngừa các biến chứng của bệnh qua đó nâng cao chất lượng cuộc sống cho người bệnh.
Sau đây, chúng tôi xin trình bày một trường hợp lâm sàng bệnh nhân UTTTL di căn xương.
Họ và tên: T. X. L Giới: Nam Tuổi: 73
Lý do vào viện: Đau vùng háng, đùi trái
Tiền sử: Tăng huyết áp, đái tháo đường nhiều năm.
Bệnh sử: Bệnh nhân phát hiện UTTTL cách vào viện 9 năm, được phẫu thuật cắt bỏ khối u cùng năm. Bệnh nhân kiểm tra định kỳ, chỉ số PSA ổn định cho đến cách vào viện 2 tháng, có biểu hiện đau tăng dần vùng thắt lưng, đùi trái, háng. Từ đó chỉ số PSA tăng nhanh, bệnh nhân đến Trung tâm YHHN&UB, Bệnh viện Bạch Mai khám và điều trị.
Tình trạng lúc vào viện:
Bệnh nhân tỉnh, tiếp xúc tốt
Không sốt, không khó thở
Đau vùng háng và đùi trái.
Thể trạng trung bình: chiều cao: 160 cm; Cân nặng: 60 kg
Hạch ngoại vi không sờ thấy.
Mạch: 80 lần/phút, Huyết áp: 110/70 mmHg.
Tim đều, T1T2 nghe rõ, không nghe thấy tiếng tim bệnh lý.
Phổi rì rào phế nang rõ hai phế trường, không nghe thấy rale
Xét nghiệm cận lâm sàng:
- Công thức máu: Hồng cầu: 4,64 T/L, Hemoglobin 130 g/L, Bạch cầu: 10 G/L, Bạch cầu đa nhân trung tính: 6,5 G/L, Tiểu cầu: 205 G/L (trong giới hạn bình thường)
- Sinh hóa máu: Creatinine: 67 umol/l, AST: 13 U/L , ALT: 10 U/L (trong giới hạn bình thường).
- Định lượng PSA:
Bảng 1 Định lượng chỉ số PSA của bệnh nhân trước điều trị
|
Các chỉ số |
Đơn vị |
Giá trị tham chiếu |
Trước vào viện 15 tháng |
Trước vào viện 1 tháng |
Lúc vào viện |
|
PSA toàn phần |
ng/ml |
0-4 |
25.13 |
223.1 |
479.2 |
|
PSA tự do |
ng/ml |
|
3.98 |
29.87 |
|
Chỉ số PSA của bệnh nhân tăng cao bất thường từ thời điểm cách vào viện 1 tháng (Tăng 9 lần so với trước đó 1 năm) và tiếp tục tăng gấp đôi trong 1 tháng trước khi vào viện.
- Chụp PET-CT toàn thân với F-18 FDG (cách vào viện 4 năm):
+ Tổn thương xương chậu trái tăng hấp thu F-18FDG, max SUV = 3,78
+ Không thấy tổ chức tăng hấp thu F-18 FDG bất thường tại các vị trí khác trong cơ thể
Kết luận: Hình ảnh tổn thương xương chậu trái tăng hấp thu FDG (dạng tổn thương thứ phát).

Hình ảnh PET-CT toàn thân với F-18FDG: Tổn thương xương chậu trái tăng hấp thu F-18FDG
- Xạ hình xương toàn thân với Tc99m – MDP (cách vào viện 3 năm):
+ Tăng hoạt độ phóng xạ tại xương cánh chậu trái.
+ Phần còn lại của hệ thống xương hoạt độ phóng xạ tập trung đồng đều phù hợp theo đặc điểm sinh lý.
Kết luận: Hình ảnh tổn thương xương cánh chậu trái (theo dõi tổn thương thứ phát).
- Siêu âm ổ bụng:
+ Nhu mô gan có đám tăng âm không đều.
+ Tuyến tiền liệt kích thước không to, nhu mô giảm âm không đồng nhất.
Kết luận: Hình ảnh gan nhiễm mỡ khu trú. U tuyến tiền liệt sau điều trị.
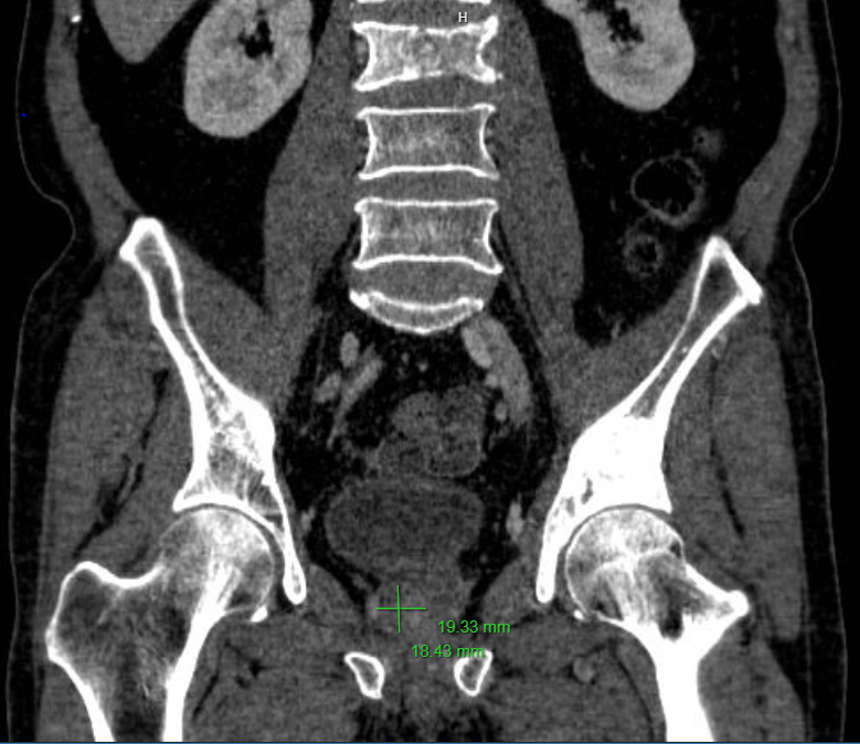
- Chụp CT ổ bụng từ vòm hoành đến tiểu khung, trước và sau tiêm thuốc cản quang:
+ Tiền liệt tuyến vùng chuyển tiếp có nốt ngấm thuốc mạnh sau tiêm, kích thước 18x19mm. Cạnh tĩnh mạch chậu trong trái có hạch kích thước 9x12mm.
+ Các tổn thương dạng tiêu xương, đặc xương thân, cuống L3, xương mu, ngành ngồi mu hai bên, ổ cối bên trái.

Hình ảnh CT trước và sau tiêm thuốc cản quang: Các tổn thương dạng tiêu xương, đặc xương thân đốt L3 và ổ cối trái
- Sinh thiết tuyến tiền liệt trực tràng dưới hướng dẫn siêu âm đầu dò trực tràng:
+ Xét nghiệm và chẩn đoán mô bệnh học bằng 2 phương pháp HE và PAS.
+ Các mảnh sinh thiết kim lấy vào mô tuyến tiền liệt có u. Mô u là các tế bào nhân lớn, kiềm tính, sắp xếp tạo cấu trúc ống, tuyến kém biệt hóa và một vùng tạo cấu trúc mắt sàng. Một số vùng tế bào đứng đơn lẻ, rời rạc (vùng mô u Gleason 4 điểm chiếm ưu thế), phần còn lại tạo cấu trúc lòng ống rõ.
Chẩn đoán mô bệnh học: Ung thư biểu mô tuyến tiền liệt, Gleason:4+5 = 9 điểm.
Chẩn đoán xác định: Ung thư biểu mô tiền liệt tuyến T3N1M1 di căn xương/ Tăng huyết áp, đái tháo đường.
Xử trí: Bệnh nhân có chỉ định điều trị hóa chất phác đồ Docetacel chu kỳ 21 ngày: Docetacel 75mg/m2 da và Prednisolon 10mg/ngày.
Sau điều trị 1 chu kỳ, bệnh nhân đáp ứng tốt, các triệu chứng lâm sàng giảm. Chỉ số PSA có xu hướng giảm xuống.
Đánh giá chỉ số PSA:
Bảng 2 Định lượng chỉ số PSA sau khi bắt đầu điều trị hóa chất
|
Các chỉ số |
Đơn vị |
Giá trị tham chiếu |
Lúc vào viện
|
Sau 1 chu kỳ |
|
PSA toàn phần |
ng/ml |
0-4 |
479.2 |
233.5 |
|
PSA tự do |
ng/ml |
|
|
33.47 |
Bệnh nhân được đánh giá đáp ứng tốt, tiếp tục điều trị hóa chất theo phác đồ đã được chỉ định.
GS.TS Mai Trọng Khoa, PGS.TS.Phạm Cẩm Phương,
ThS. BS Nguyễn Xuân Thanh, BSNT Hồ Ngọc Quân