Ngày đăng: 05/01/2024UTTG thể biệt hóa gồm thể nhú, thể nang, hỗn hợp nhú và nang chiếm 80%; 20% còn lại là UTTG không biệt hóa bao gồm thể tủy, thể thoái biến, ung thư tổ chức liên kết, lymphoma… UTTG thể nhú là loại phổ biến nhất trong các dạng UTTG, chiếm từ 70-80% trong tổng số các trường hợp, thể này tiến triển chậm và có thể di căn hạch cổ, hoặc có thể lan tới phổi và xương… UTTG thể nang là loại UTTG phổ biến thứ 2, chiếm từ 10-15%, loại này có tốc độ tiến triển nhanh hơn, thường hay di căn hạch cổ và di căn xa vào xương, phổi. UTTG thể biệt hóa có tiên lượng tốt nếu phát hiện sớm, điều trị kết hợp phẫu thuật, I-131 và nội tiết tố tỉ lệ sống toàn bộ và không bệnh trên 5 năm là trên 90%.
Sau đây là một trường hợp lâm sàng bệnh nhân UTTG thể nang di căn xương cột sống và xương sọ được chẩn đoán xác định và điều trị tại Trung tâm Y học hạt nhân và Ung bướu, Bệnh viện Bạch Mai.
Họ và tên: Nguyễn T.P Giới: Nữ Tuổi: 79
Lý do vào viện: Khối lồi gây đau vùng chẩm phải.
Tiền sử: Gan nhiễm mỡ.
Bệnh sử: BN được chẩn đoán UTTG di căn xương thân đốt sống L4 năm 2022 (đã sinh thiết xương đốt sống L4, giải phẫu bệnh là nguồn gốc ung thư biểu mô tuyến giáp).
BN đã được phẫu thuật cắt toàn bộ tuyến giáp, nạo vét hạch. Kết quả giải phẫu bệnh sau mổ nhân tuyến giáp là: Ung thư biểu mô tuyến giáp thể nang.
Sau phẫu thuật, BN được điều trị I-131 lần 1 năm 2022 với liều 100mCi, duy trì hormon thay thế levothyrox 50mcg x 02 viên/ngày. Sau điều trị, BN đến tái khám định kì, gần đây xuất hiện khối lồi và đau vùng chẩm lệch phải nên được vào Trung tâm Y học hạt nhân và Ung bướu, Bệnh viện Bạch Mai khám và tiếp tục điều trị.
Tình trạng lúc vào viện:
Bệnh nhân tỉnh, tiếp xúc tốt; Thể trạng trung bình; Không sốt, nhiệt độ: 36.8°C; Da, niêm mạc hồng. Tuyến giáp: không sờ thấy. Sẹo mổ cũ liền tốt. Hạch ngoại vi không sờ thấy.
Mạch: 70 lần/phút, Huyết áp: 120/80 mmHg. Nhịp tim đều, T1T2 rõ, không thấy tiếng tim bệnh lý. Phổi rì rào phế nang rõ, không có ran. Bụng mềm, gan lách không to, không có dấu hiệu thần kinh khu trú. Vùng chẩm lệch phải có khối mật độ cứng, kích thước ~4x5cm đẩy lồi da đầu vùng chẩm, da vùng chẩm nề nhẹ, ấn đau.
Xét nghiệm cận lâm sàng lần tái khám gần đây nhất khi uống đủ liều hormon thay thế:
- Công thức máu: Hồng cầu: 4.45 T/L, Bạch cầu: 8.77 G/L, Bạch cầu đa nhân trung tính: 72%, Tiểu cầu: 220G/L (trong giới hạn bình thường)
- Sinh hóa máu: Creatinine: 61 umol/l (bình thường 59-104), GOT: 29 U/L (bình thường <37 U/L) , GPT: 29 U/L ( bình thường <41 U/L)
=>Chức năng gan, thận trong giới hạn bình thường .
- Đánh giá chức năng tuyến giáp: FT3: 5.49 pmol/l (bình thường 3.95-6.8), FT4:19 pmol/l (bình thường: 12-22), TSH: 0.005 uU/ml (bình thường 0,27-4,2)
Tg: 500ng/ml ( bình thường 1.4-78) => tăng, gợi ý tình trạng có tái phát, di căn.
Anti-Tg: 61.96 U/mL (bình thường <115)
- Siêu âm tuyến giáp:
Tuyến giáp đã phẫu thuật.
Không thấy hình ảnh tái phát tại chỗ.
Không thấy hạch bất thường vùng cổ.
![]() |
Hình 1. Hình ảnh siêu âm tuyến giáp.
- Siêu âm ổ bụng: hình ảnh gan nhiễm mỡ.
- Xquang ngực thẳng: bình thường.
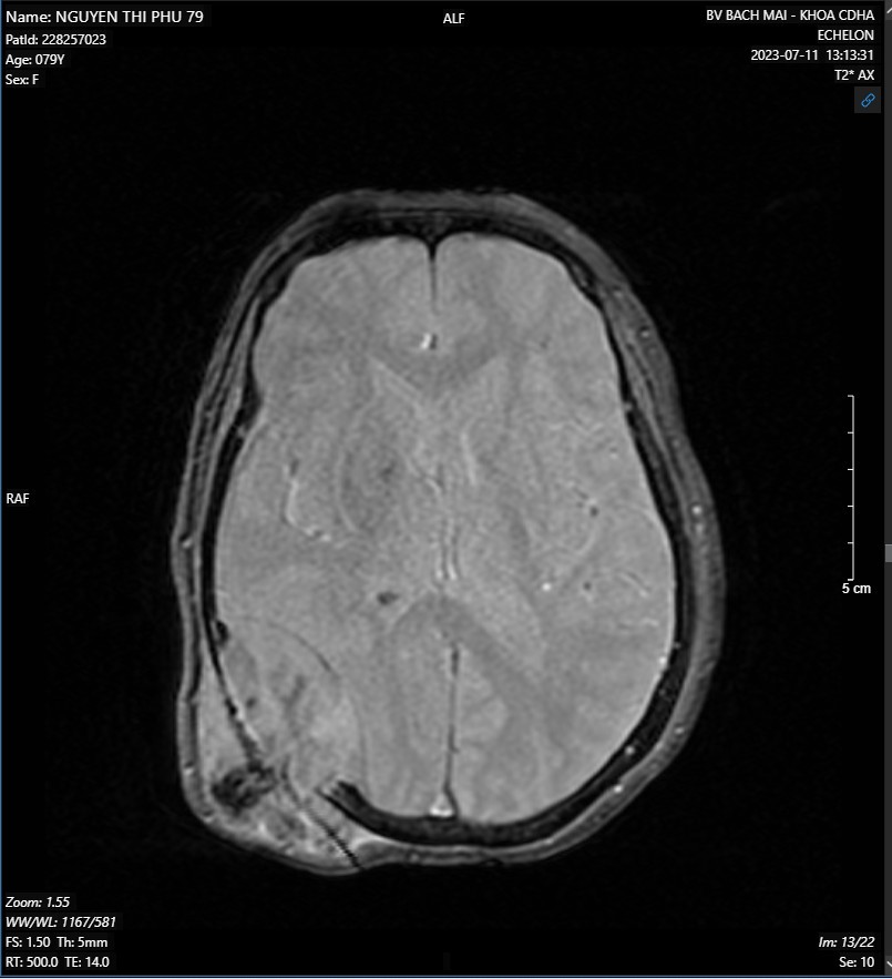
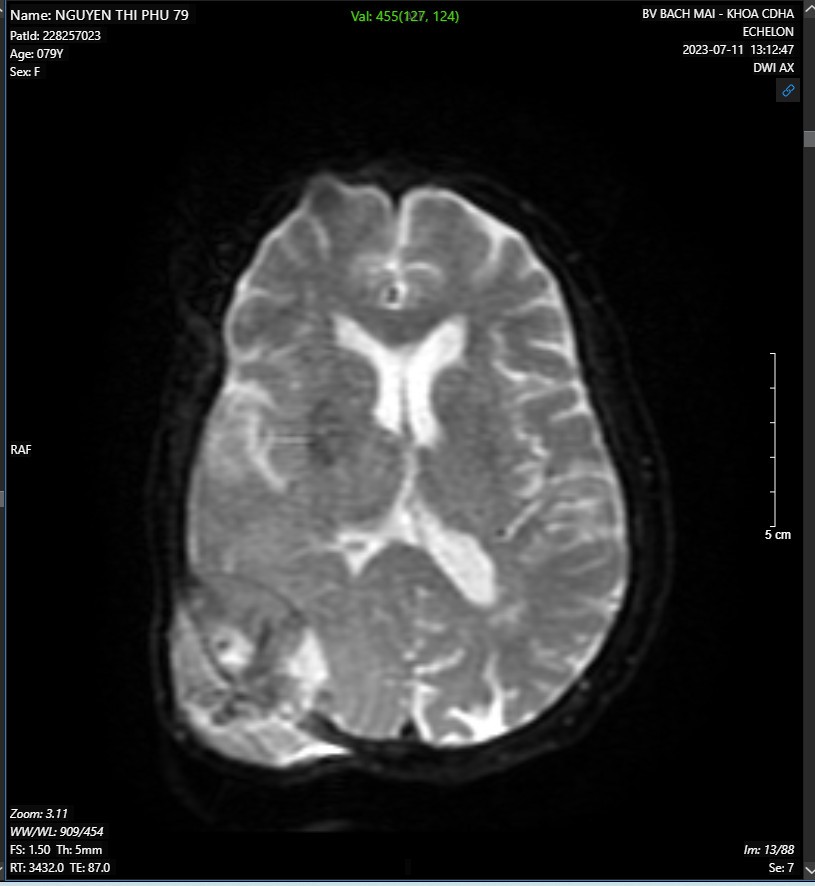
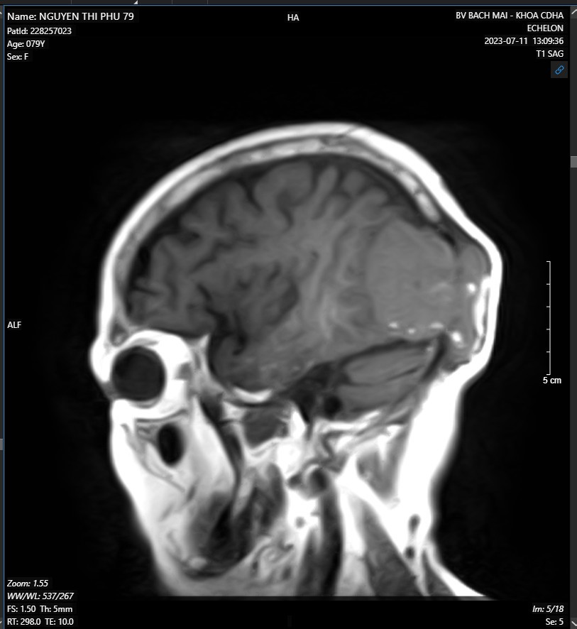
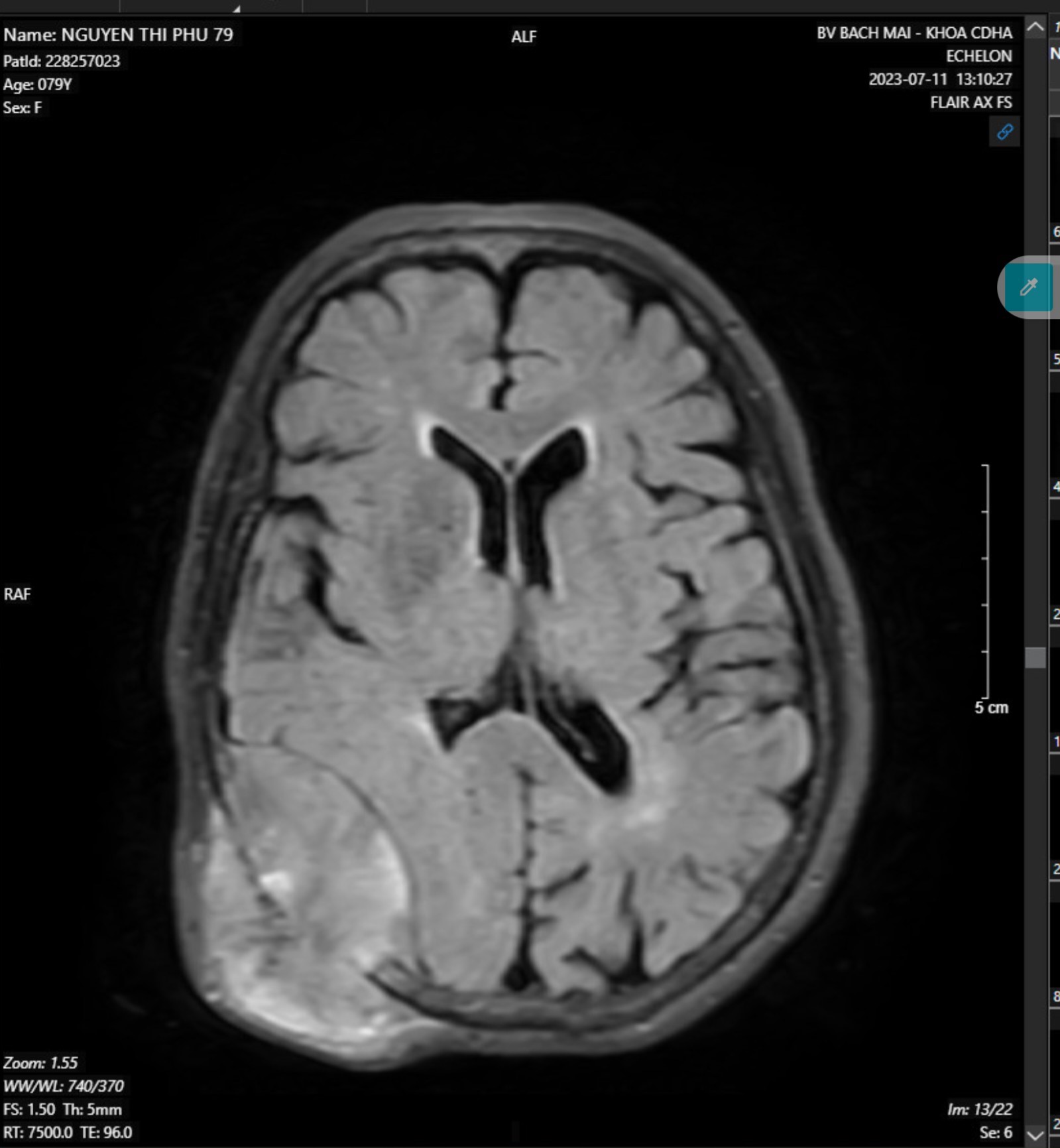
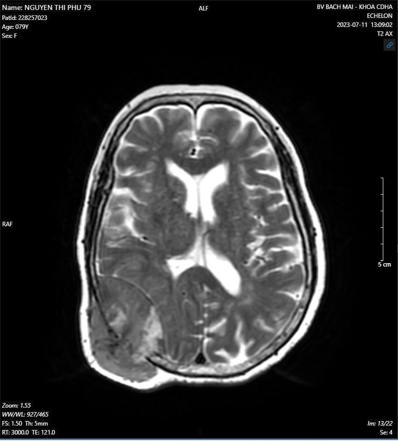
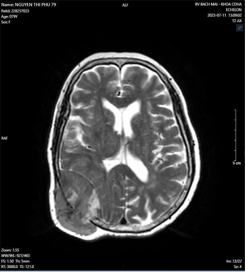
- MRI não-mạch não có tiêm thuốc đối quang từ:
Hình ảnh khối ngoài trục vùng thái dương-chẩm phải kích thước 48x50x60mm nghĩ nhiều đến khối u xương, có chảy máu trong u, gây tiêu xương sọ và xâm lấn phần mềm
![]() |
![]() |
![]() |
![]() |
![]() |
![]() |
Hình 2. Hình ảnh MRI não-mạch não có tiêm thuốc đối quang từ.
- Chụp xạ hình với I-131 : thấy hình ảnh ổ bắt hoạt tính phóng xạ cao tại khối u xương sọ và ổ bắt hoạt tính phóng xạ cao ở cột sống thắt lưng. (Hình 3)

Hình 3. Hình ảnh xạ hình với I-131.
Chẩn đoán xác định: Ung thư tuyến giáp thể nang di căn xương cột sống và xương sọ đã phẫu thuật và điều trị I-131.
Điều trị: Với kết quả xạ hình cho thấy I -131 tập trung tốt vào khối u xương chẩm và xương đốt sống L4 nên bệnh nhân đã được hội chẩn hội đồng chuyên môn và có chỉ định điều trị I-131 lần 2 với liều 150mCi.
Sau uống I-131 người bệnh theo dõi tại phòng cách ly đến khi đảm bảo an toàn bức xạ cho cộng đồng thì mới ra viện, và được hẹn tái khám sau 1 tháng để theo dõi kết quả điều trị và tiến triển của bệnh.
Hi vọng rằng với phác đồ hiện tại, ở những lần tái khám tiếp theo thấy được hiệu quả điều trị và cải thiện chất lượng cuộc sống cho bệnh nhân.
Bàn luận: Từ ca bệnh trên đây cho thấy UTTG thể nang là một loại ung thư có tốc độ phát triển rất nhanh và thường có di căn xa vào xương.
Điều trị UTTG bằng I-131 là một phương pháp nhắm trúng đích đối với UTTG thể biệt hóa, đây là phương pháp có hiệu quả và có tính an toàn phóng xạ cao do thuốc phóng xạ tập trung khu trú vào các ổ mô giáp tái phát, di căn. Tại đây I-131 sẽ chỉ tiêu diệt các tế bào ác tính cả nguyên phát và di căn một cách chọn lọc nên hiệu quả điều trị cao và ít ảnh hưởng đến các cơ lành khác.
GS.TS Mai Trọng Khoa, PGS.TS.Phạm Cẩm Phương, TS. Phạm Văn Thái
Th.S BS Nguyễn Duy Anh, BSNT Nguyễn Thị Minh