Ngày đăng: 16/03/2010Ung thư là một nhóm bệnh lý phức tạp, đa dạng về nguyên nhân, biểu hiện lâm sàng và tiến triển. Chúng đều có đặc điểm chung là bệnh lý ác tính của tế bào, trong đó các tế bào phân chia vô hạn độ, mất khả năng chết theo chương trình, mất khả năng ức chế khi tiếp xúc; các tế bào ung thư xâm lấn phá huỷ tổ chức xung quanh và di căn xa. Tỷ lệ mắc các bệnh ung thư ngày càng tăng có thể do hai nhóm nguyên nhân chính.
Một là, sự gia tăng của các yếu tố như ô nhiễm môi trường, thực phẩm, chế độ ăn, hút thuốc lá, tuổi thọ người dân tăng... Hai là, nhờ các tiến bộ về khoa học kỹ thuật làm tăng tỷ lệ phát hiện sớm bệnh ung thư... Hiện nay, việc phòng chống ung thư đi vào ba hướng chính: phòng bệnh, phát hiện sớm và ứng dụng khoa học công nghệ hiện đại vào điều trị ung thư. Việc điều trị ung thư căn cứ vào nhiều yếu tố như cơ quan, vị trí ung thư, thể giải phẫu bệnh lý, giai đoạn bệnh, cũng như tình trạng chung của bệnh nhân. Phát hiện sớm cũng như chẩn đoán đúng giai đoạn bệnh ban đầu có ý nghĩa quan trọng để quyết định phương pháp điều trị đúng đắn nhằm đem lại hiệu quả điều trị cao cho người bệnh. Việc chẩn đoán dựa vào lâm sàng, cận lâm sàng như chẩn đoán hình ảnh, nội soi, sinh hoá, giải phẫu bệnh trong đó giải phẫu bệnh là tiêu chuẩn vàng trong chẩn đoán xác định. Gần đây, cùng với việc ra đời của các máy SPECT, PET, SPECT/CT, PET/CT, càng ngày người ta càng quan tâm đến vai trò của y học hạt nhân (YHHN) như là một yếu tố không thể thiếu được trong việc chẩn đoán phát hiện sớm cũng như chẩn đoán đúng giai đoạn bệnh - việc mà rất dễ bỏ sót khi dùng các phương tiện chẩn đoán hình ảnh thông thường.
Việc điều trị ung thư cũng có nhiều tiến bộ vượt bậc ngoài những phương pháp điều trị kinh điển như phẫu thuật, xạ trị, hoá chất phải kể đến các phương pháp xạ trị theo kỹ thuật mới như xạ trị điều biến liều (IMRT), xạ phẫu, các hoá chất mới, nghiệm pháp điều trị nhắm trúng đích với các kháng thể đơn dòng (Target therapy). Xạ phẫu bằng dao gamma quay (Rotating gamma knife) với kỹ thuật định vị không gian ba chiều có độ chính xác lên đến 0,1 mm cho phép phân liều rất cao vào khối u mà rất ít ảnh hưởng đến tổ chức xung quanh.
Trung tâm Y học hạt nhân và Ung bướu (YHHN&UB), Bệnh viện Bạch Mai là nơi đầu tiên trong cả nước được trang bị đầy đủ hệ thống từ chẩn đoán đến điều trị hiện đại như hệ thống máy SPECT, PET/CT, CT mô phỏng, máy gia tốc, và máy dao Gamma quay. Hệ thống này giúp nâng cao chất lượng chẩn đoán và điều trị nhất là việc chẩn đoán sớm, chẩn đoán đúng giai đoạn bệnh và việc điều trị có hiệu quả bệnh ung thư, đặc biệt trong những trường hợp khó chẩn đoán và điều trị. Sau đây chúng tôi xin giới thiệu một vài trường hợp gặp tại Trung tâm YHHN&UB khó chẩn đoán và điều trị có hiệu quả.
Ca lâm sàng 1.
Bệnh nhân Hoàng Thị K.L, nữ, 46 tuổi
Vào viện: 17/02/2008
Lý do vào viện: đau đầu
Bệnh sử: Diễn biến bệnh 3 tháng trước khi vào viện, biểu hiện đau đầu, có lúc nôn, buồn nôn kèm theo yếu nửa người trái, đã khám tại bệnh viện tỉnh, chuyển bệnh viện Việt Đức xét mổ, gia đình không đồng ý mổ, chuyển về bệnh viện Bạch Mai.
Tiền sử: Khoẻ mạnh, Gia đình không mắc bệnh gì đặc biệt
Khám:
Toàn thân:
- Thể trạng trung bình, cao 154 cm, nặng 53 kg
- Da niêm mạc: Bình thường
- Hạch cổ, hạch ngoại biên không sờ thấy
- Không phù...
Bộ phận tổn thương: Hội chứng tăng áp lực nội sọ (+), HC thần kinh khu trú (+)
Các bộ phận khác: Nhịp tim 80 lần/phút, HA 130/ 80 mmHg
- Hô hấp: Lồng ngực cân đối, RRFN 2 bên rõ không ral
- Bụng mềm, cổ chướng(-), gan lách không sờ thấy, không sờ thấy u cục.
- Các bộ phận khác chưa thấy gì đặc biệt
Các xét nghiệm: Công thức máu, sinh hoá máu: Bình thường
Chất chỉ điểm khối u: CEA, CA19.9, CA125, CA15.3 đều trong giới hạn bình thường
Chụp CT lồng ngực, CT ổ bụng không phát hiện được các dấu hiệu bất thường
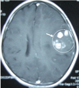
Chụp MRI sọ não phát hiện tại thuỳ thái dương trái có 3 khối u kích thước các khối 1,5 x 1,5 cm, ngoài ra còn có các u kích thước nhỏ xung quanh. Hình ảnh MRI gợi ý đến hình ảnh u Lympho não hơn là di căn não. Bệnh nhân được chỉ định mở sọ não lấy u làm giải phẫu bệnh nhưng bệnh nhân đã từ chối phẫu thuật.

VàoTrung tâm YHHN&UB, Bệnh viện Bạch Mai, bệnh nhân được chỉ định làm thêm xét nghiệm chuyên khoa Xạ hình bạch mạch với Fyton - Tc-99m (ghi hình với máy SPECT),
(Hình ảnh xạ hình bạch mạch bằng máy SPECT với
Fyton-Tc-99m )
Kết quả: phát hiện thấy có tổn thương hạch thượng đòn bên trái kích thước khá nhỏ (trên lâm sàng không sờ thấy được).
Tiến hành sinh thiết tổ chức thượng đòn (ST Daniel) lấy ra đựợc một hạch kích thước 0,6 cm, chắc, ranh giới rõ, gửi làm xét nghiệm giải phẫu bệnh , kết quả là U lympho ác tính không Hodgkin, tế bào lớn lan toả (WF7)
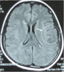
Bệnh nhân được tiến hành điều trị hoá chất phác đồ CHOP 8 đợt và tiêm Methotrexat nội tuỷ, kết quả u sọ não tan hoàn toàn. Đến nay, bệnh nhân đã được ra viện 10 tháng. Hiện tại vẫn khoẻ mạnh, chụp MRI sọ não không phát hiện ra khối u.

Đây là một ca lâm sàng hay, một tình huống chẩn đoán khó khăn, nhờ có kỹ thuật YHHN phát hiện tổn thương hạch thượng đòn mặc dù kích thước còn rất nhỏ, rất dễ bỏ sót bằng thăm khám lâm sàng. Bệnh nhân rất may mắn không phải chịu cuộc đại phẫu mở sọ não lấy u làm xét nghiệm giải phẫu bệnh mà vẫn có hướng điều trị đúng đắn.
Ca lâm sàng thứ 2.
BN Đỗ Thị L.A , nữ 41 tuổi
Chẩn đoán Ung thư đại tràng di căn xương, giai đoạn Dukes D
Năm 2003 được chẩn đoán ung thư Đại tràng Sigma xâm lấn thanh mạc đã phẫu thuật cắt đoạn đại tràng Sigma, truyền hoá chất FuFa 6 đợt và kiểm tra theo dõi định kỳ thường xuyên tại một BV chuyên khoa Ung bướu, bệnh ổn định.
Năm 2006 bệnh nhân đến BV Bạch Mai khám định kỳ được làm các xét nghiệm siêu âm ổ bụng, chụp CT ngực 64 dãy, CT ổ bụng... nhưng không phát hiện thấy bất thường. Chất chỉ điểm khối u trong giới hạn bình thường.

BN được chỉ định làm xạ hình xương toàn thân để kiểm tra tổng thể toàn bộ hệ thống xương, phát hiện ổ di căn xương sườn số 4 trái.

Bệnh nhân được tiếp tục điều trị phác đồ FOLFIRI 6 chu kỳ, thuốc chống huỷ xương. Hiện tại, khám lại BN sức khoẻ tốt, bệnh ổn định và trở về công việc hàng ngày bình thường.
Bàn luận: Trong điều trị ung thư việc xác định đúng giai đoạn bệnh có ý nghĩa quyết định phương pháp điều trị, từ đó mang lại hiệu quả điều trị tốt nhất cho người bệnh. Nếu chỉ dùng các phương pháp chẩn đoán thông thường rất dễ bỏ sót tổn thương qua đó đánh giá không đúng giai đoạn bệnh. Sự ra đời của các máy SPECT, PET, SPECT/CT, PET/CT ghi hình ở mức độ tế bào, mức độ phân tử, theo nguyên tắc chuyển hoá khi chưa có sự thay đổi về giải phẫu thực sự, là bước tiến quan trọng trong việc phân loại đúng, sớm giai đoạn bệnh cũng như việc điều trị ung thư. ở BN này, bằng các kỹ thuật chẩn đoán thông thường (ngay cả với CT 64 dãy đầu dò) đều cho kết quả hoàn toàn bình thường, nhưng khi dùng kỹ thuật xạ hình bằng máy SPECT đã phát hiện ổ di căn xương trên xạ hình xương thì thái độ điều trị đã hoàn toàn thay đổi. BN được tiếp tục điều trị hoá chất và chống huỷ xương, hiện tại bệnh nhân khoẻ mạnh, bệnh ổn định.
PGS. TS Mai Trọng Khoa, Th.S. Vũ Hữu Khiêm,
PGS. TS Trần Đình Hà, Th.S. Vương Ngọc Dương và CS.
Trung tâm YHHN&UB - Bệnh viện Bạch Mai