Ngày đăng: 14/04/2009(Thông báo một trường hợp)
I. Mô tả bệnh án.
Bệnh nhân: nam, 66 tuổi, nghỉ hưu
Dân tộc: Kinh
Địa chỉ: Kim Đồng, Giáp Bát, Hoàng Mai, Hà Nội.
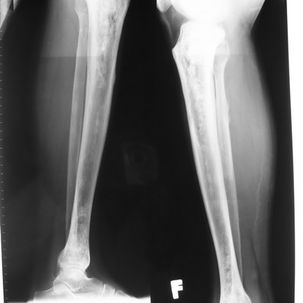
Vào viện ngày 01-11-2007- Chụp X-Quang thường quy: tổn thương hình khuyết xương thành ổ, xơ hóa ở các xương dài hai bên. TD viêm tủy xương chưa loại trừ ung thư di căn xương.
- Kết quả xạ hình bằng máy SPECT: tổn thương xương chày hai bên, xương trụ và xương quay hai bên có tính chất đối xứng liên quan đến các xương dài nghĩ đến do bệnh chuyển hóa chưa loại trừ kaller cần sinh thiết chẩn đoán.
- CT: Vùng hành xương và đầu trên xương chày, xương đùi, thấy hình ảnh vôi hóa có xu hướng lan vào ống tủy. Ống tủy có hình ảnh rộng ở vùng đầu dưới xương chày. Không có hình ảnh khuyết xương và phản ứng màng xương. KL: Hình ảnh nghĩ đến nhồi máu tủy hơn là viêm xương tủy.
- MRI: Tổn thương lan tỏa đầu dưới xương đùi, xương chày, xương mác hai bên, giảm tín hiệu T1W, T2W sau tiêm thuốc ngấm không đều. Tổn thương ở thân xương, hành xương, đầu xương nhưng tôn trọng phần xương dưới sụn. Phần mềm xung quanh không có tổn thương bất thường. Không có hẹp khe khớp, không có tràn dịch khớp. KL: Tổn thương xương đùi, xương chày, xương mác hai bên.
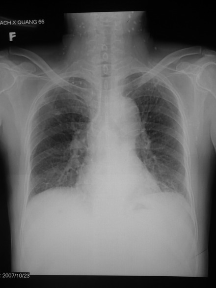
- CT lồng ngực: Phổi phải có tổn thương thành dải xơ co kéo, đỉnh phổi có một số nốt vôi hóa. Hình ảnh dày khu trú màng phổi phải thùy trên.
- Siêu âm ổ bụng: Hình ảnh mỡ quanh thận và quanh các động mạch chủ bụng.
- Đo chức năng hô hấp: Tiff: 59,8%; FEV1 45,5 %. KL: Rối loạn thông khí tắc nghẽn mức độ nặng.
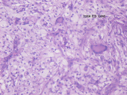
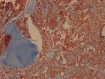
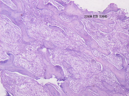
- Sinh thiết xương chày và xương mác bên phải (Mã số tiêu bản 2094N, 2095N: làm ngày 5/11/2007): Sinh thiết mô xương thấy vùng tủy xương khá rộng. Mô xương thấy nhiều vùng thoái hóa, xương chết, mất chất khoáng và ngấm can-xi. Vùng tủy xương xơ hóa mạnh, xâm nhập nhiều mô bào mỡ (foamy histiocytes), rải rác có tế bào khổng lồ nhiều nhân (Touton-type giant cells). Nhuộm HMMD các tế bào này dương tính với CD68; âm tính với S100 và CD1a. KL: Hình ảnh mô bệnh học phù hợp với bệnh Erdheim- Chester.
- Các xét nghiệm khác không có gì đặc biệt.
II. Bàn luận
Bệnh Erdheim-Chester (ECD) là một bệnh mô bào hiếm gặp không phải loại tế bào Langerhans. Trong y văn trên thế giới đến nay gặp khoảng gần 100 trường hợp, thậm chí trong một số sách của nước ngoài về giải phẫu bệnh người ta cũng chưa đề cập đến bệnh này.
Bệnh được Jakob Erdheim và William Chester, hai nhà giải phẫu bệnh người Áo mô tả lần đầu năm 1930. Hai ông mô tả hai bệnh nhân riêng biệt đều có lắng đọng lipid và tổn thương ở các xương dài. Năm 1972 Jaffe gặp một bệnh nhân thứ ba có tổn thương tương tự và lấy tên của hai ông đặt cho bệnh này và gọi là Erdheim-Chester (ECD). Bệnh gặp ở người lớn. Nam có tỷ lệ mắc cao hơn nữ.
Bệnh có đặc điểm là có sự xâm nhập của các đại thực bào ăn mỡ, tế bào khổng lồ nhiều nhân (còn gọi là tế bào khổng lồ Touton), xâm nhập lymphô bào và mô bào trong tuỷ xương, gây xơ hoá ở các xương dài. Nguyên nhân gây bệnh đến nay vẫn chưa rõ.
Bệnh gây tổn thương nhiều cơ quan trong cơ thể như thận, sau phúc mạc, phổi, màng tim, da, mắt, xương và não. Biểu hiện lâm sàng phụ thuộc vào mô bị tổn thương trong đó tổn thương xương là hay gặp nhất. Trong nhiều năm liền người ta cho rằng đây là một biến thể của bệnh mô bào Langerhans. Nhưng những nghiên cứu mới nhất gần đây chỉ rõ sự khác nhau về bản chất giữa hai bệnh này. Bệnh mô bào Langerhans hay gặp ở người trẻ tuổi và hay tổn thương ở hạch, ở các xương ngắn. Hơn nữa bệnh mô bào Langerhans phân biệt dễ dàng khi nhuộm hóa mô miễn dịch (CD1a và S100 dương tính).
Đau xương là triệu chứng hay gặp nhất. Các triệu chứng khác ít gặp hơn bao gồm: sốt, sụt cân, lồi mắt, khó thở hoặc các biểu hiện khác về tâm thần, thần kinh.
Hay gặp khác là tổn thương vùng dưới đồi tuyến yên gây tiểu đường. Tổn thương ở não hay gặp khác là thấy trên MRI là quá trình mất myelin rất dễ nhầm với xơ hóa đa ổ (multiple sclerosis), u mỡ vàng ở da và mi mắt, sự xâm nhập của đại thực bào vào sau hốc mắt gây lồi mắt, vào thần kinh thị giác làm giảm hoặc mất thị lực,
Tổn thương hay gặp khác là xâm nhập mô bào và xơ hóa vào mô mỡ sau phúc mạc, quanh thận gây thận ứ nước, suy thận và cao huyết áp. Xơ hóa quanh mạch cũng hay gặp.
Triệu chứng hay gặp ở phổi là xơ hóa tiến triển ở phổi, gây khó thở, suy tim và chết trong vòng vài năm nếu không điều trị kịp thời.
Trên vi thể thấy xâm nhập lan tỏa nhiều mô bào, đại thực bào mỡ (foamy macrophase), tế bào khổng lồ nhiều nhân, (tế bào khổng lồ Touton), lympho bào tăng sinh lan tỏa tế bào hình dài, hình thoi dạng nguyên bào xơ.
Tiên lượng phụ thuộc vào tổn thương của các cơ quan liên quan. Đa số các bệnh nhân chết trong vòng 2-3 năm sau khi chẩn đoán chủ yếu vì suy hô hấp, suy tim hoặc suy thận.
III. Một số hình ảnh minh họa
Hình ảnh Xanthogranuloma ở da quanh ổ mắt
![]() |
|
Hình ảnh mô bào mỡ và tế bào khổng
lồ Touton
trong sinh thiết xương chày. Nhuộm
HE.
Nhuộm hóa mô miễn dịch: Các mô bào mỡ
và tế bào khổng lồ dương tính
với CD68

Hình ảnh XQ thông thường của tổn
thương xương chày
Hình ảnh XQ tim phổi thẳng
TÀI LIỆU THAM KHẢO
1. C Myra, L Sloper, P J Tighe et al. Treatment of Erdheim-Chester disease with cladribine: a rational approach. British Journal of Ophthalmology 2004;88: 844-847, 2004; BMJ Publishing Group Ltd.
2. Veyssier-Belot C, Cacoub P, Capparros- Lefebvre D, et al. Erdheim-Chester disease: Clinical and radiologic characterstics of 59 cases. Medicine 1996;75: 157-169. Medline]
3. Miller RL, Sheeler RL, Bauer TW, et al. Case report and review of the literature. Am J Med 1986;80: 1230-6 [Medline].
4. Sandrock D, Merino MJ, Scheffknecht BH, et al. Erdheim-Chester disease of the central nervous system. Report two cases. J Neurosurg 1997;86:888-92 [Medline]
5. Alper MG, Zimmerman LE, Piana JE. Orbital manifestions of Erdheim-Chester disease. Trans Am Ophthalmol Soc 1983; 81:64-85 [Medline]
6. Keith H. W, Stephen J.S and Jeffrey L.M. Pulmonary Involvement with Erdheim-Chester disease. Radiographic and CT Findings. American Roentgen Ray Society 2000; 174: 1327-31.
7. Eble JN, Rosenberg AE, Young RH. Retroperitoneal xanthogranuloma in a patient with Erdheim-Chester disease. Am J Surg Pathol 1994; 18: 843-48 [Medline]
8. Vencio EF, Jenkins RB, Schiller JL, et al. Clonal Cytogenetic Abnormalities in Erdheim-Chester disease. Am J Surg Pathol, 2007 Feb;31: 319-21.
9. Sheu SY, Wenzel RR, Kersting C, et al. Erdheim-Chester disease: case report with multisystemic manifestations including testes, thiroid, and lymph nodes and a review of literature. J Clin Pathol 2004, Nov: 57 (11): 1225-8.
10. Krishnan KU., Carric YM., Julia AB., et al. Erdheim-Chester disease. Tumors of bones and joints, AFIP Atlas of Tumor pathology Series 4, ARP Press, 2005: 361-363.
SUMMARY
The authors present the case of a 66-year-old man with Erdheim-Chester disease (ECD). This patient developed aching in his legs from 2004, for which no cause was found. He presented in November 2007 with dyspnea, radiological findings including lesion of the bilateral long bones and xanthogranuloma seen in the orbital skin area. The initial diagnosis of ECD was established based on the biopsy of the righ tibia, which showed diffuse infiltration of foamy histiocytes, Touton-type giant cells and fibroblastic cells associated with extensive coagulative necrosis. Immunohistochemically, the foamy cells and the giant cells were positive for CD 68 and negative for S100, CD1a.
Vũ Hoàng Ánh*, Đặng Văn
Dương*,Bùi Mạnh Thắng*, Nguyễn Phương Thủy**
và cs
* Bác sỹ Trung tâm Giải phẫu
bệnh Bệnh viện Bạch Mai
**
Bác sỹ Khoa Cơ Xương Khớp Bệnh viện
Bạch Mai