Ngày đăng: 30/01/2026Tác giả: PGS.TS Phạm Cẩm Phương, GS.TS. Mai Trọng Khoa, BSNT Phạm Minh Lanh, BSNT Nguyễn Thúy NgaNhững năm gần đây, điều trị ung thư phổi giai đoạn muộn đã có nhiều bước tiến quan trọng với sự ra đời của các liệu pháp miễn dịch và điều trị đích nhắm vào các đột biến gen như EGFR, ALK, ROS1… Trong đó, các thuốc ức chế tyrosine kinase (TKIs) thế hệ I, dù đã được đưa vào sử dụng từ năm 2005, đến nay vẫn giữ vai trò nhất định trong điều trị ung thư phổi không tế bào nhỏ.
Các bác sĩ Trung tâm Y học hạt nhân và Ung bướu (Bệnh viện Bạch Mai) vừa ghi nhận một trường hợp bệnh nhân ung thư phổi giai đoạn muộn được điều trị bằng thuốc TKIs thế hệ I từ năm 2017 đến nay với thời gian ổn định bệnh kéo dài tới 6 năm.
Phát hiện ung thư phổi giai đoạn muộn
Bệnh nhân nữ, 72 tuổi, nhập viện tháng 6/2017 do đau ngực trái âm ỉ kéo dài, sụt cân khoảng 8kg trong vòng 6 tháng. Đáng chú ý, bệnh nhân không ho, không khó thở trong suốt thời gian này.
Thời điểm nhập viện, bệnh nhân tỉnh táo, không sốt, huyết động ổn định. Thăm khám tim phổi chưa ghi nhận dấu hiệu bất thường rõ ràng. Các xét nghiệm công thức máu, sinh hóa máu trong giới hạn bình thường, chỉ điểm khối u CEA và Cyfra 21-1 không tăng. Điện tâm đồ và siêu âm tim không phát hiện dấu hiệu thiếu máu cơ tim.

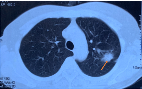
Hình ảnh cắt lớp vi tính lồng ngực tháng 6 năm 2017 khối u thùy trên phổi phải xâm lấn rãnh liên thùy (mũi tên).
Kết quả chụp cắt lớp vi tính (CT) lồng ngực cho thấy khối u thùy trên phổi trái kích thước 20x15mm, bờ tua gai, xâm lấn rãnh liên thùy, kèm theo nhiều nốt mờ rải rác hai phổi, kích thước 5-10mm, phù hợp với tổn thương thứ phát, cùng hạch rốn phổi trái kích thước 10mm.
Sinh thiết xuyên thành ngực tổn thương phổi trái cho kết quả mô bệnh học là ung thư biểu mô tuyến. Xét nghiệm đột biến gen phát hiện đột biến EGFR dạng xóa đoạn exon 19. Các thăm dò bổ sung bằng PET/CT và cộng hưởng từ não không phát hiện thêm tổn thương di căn ngoài phổi.
Bệnh nhân được chẩn đoán ung thư phổi trái không tế bào nhỏ dạng biểu mô tuyến, giai đoạn T4N1M1 (di căn phổi), có đột biến EGFR.
Ổn định bệnh kéo dài nhờ điều trị đích
Sau hội chẩn chuyên môn, bệnh nhân được chỉ định điều trị bằng thuốc erlotinib liều 150mg/ngày đường uống.
Sau 6 tháng điều trị, triệu chứng đau ngực giảm rõ rệt, bệnh nhân dung nạp thuốc tốt. Tác dụng phụ chủ yếu là ban da dạng chấm và mụn ở vùng đầu, vùng sinh dục - những biểu hiện thường gặp của thuốc và được đánh giá là dấu hiệu dự báo đáp ứng điều trị tốt. Kết quả chụp CT kiểm tra cho thấy khối u đáp ứng điều trị, chuyển thành tổn thương xơ hóa, giảm ngấm thuốc sau tiêm.

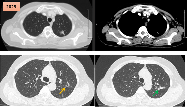
Hình ảnh cắt lớp vi tính theo dõi trong quá trình điều trị, tổn thương xơ hóa tại vị trí u cũ (mũi tên xanh) và giãn khu trú các nhánh phế quản liền kề (mũi tên vàng)
Bệnh nhân tiếp tục được theo dõi và điều trị duy trì bằng erlotinib. Đến thời điểm đánh giá lại vào tháng 5/2023, sau 6 năm điều trị liên tục, bệnh nhân vẫn trong tình trạng ổn định: Không đau ngực, không khó thở, các chỉ điểm khối u CEA và Cyfra 21-1 duy trì trong giới hạn bình thường.
Kết quả chụp CT ngực - bụng và cộng hưởng từ sọ não không ghi nhận thêm tổn thương mới. Tại vị trí u cũ, tổn thương xơ hóa gây co kéo rãnh liên thùy và giãn khu trú các nhánh phế quản lân cận, song không ảnh hưởng đến chức năng hô hấp và không gây triệu chứng lâm sàng.
Theo các bác sĩ, đây là trường hợp đáp ứng kéo dài hiếm gặp với thuốc điều trị đích thế hệ I, cho thấy vai trò bền vững của nhóm thuốc này trong điều trị ung thư phổi không tế bào nhỏ có đột biến EGFR, ngay cả ở giai đoạn muộn.
Hiện nay, các thuốc điều trị đích ngày càng được ứng dụng rộng rãi trong ung thư phổi ở cả giai đoạn sớm và giai đoạn muộn, góp phần kéo dài thời gian sống cũng như cải thiện đáng kể chất lượng cuộc sống cho người bệnh.