Gọi tổng đàiĐặt lịch khám
Bệnh viện Bạch MaiNgày đăng: 13/11/2009

Lợi ích của Pet/Ct trong ung thư chưa rõ nguyên phát

13/11/2009
28554 lượt xem
Tin trong ngành

Trong thực hành lâm sàng, nếu chỉ dựa vào các kỹ thuật chẩn đoán thông thường (siêu âm, CT, MRI,...) chúng ta có thể gặp một số trường hợp ung thư nhưng chưa rõ ổ nguyên phát. Nguyên nhân là do chỉ tổn thương di căn được phát hiện trong khi khối u nguyên phát còn quá nhỏ.

pet.jpg

Rất nhiều trường hợp bệnh nhân có biểu hiện di căn rất rõ nhưng vị trí tổn thương nguyên phát không tìm thấy được, điều này gây cản trở đến chiến lược điều trị và rõ ràng là hiệu quả điều trị không cao, tỷ lệ tử vong cao và thời gian sống thêm thấp.

Vị trí di căn thường gặp nhất là hạch ở hố thượng đòn và vùng cổ, sau đó là não và xương với chẩn đoán mô bệnh học là ung thư biểu mô tế bào vẩy, ung thư biểu mô tuyến; loại ung thư biểu mô không biệt hoá có tỷ lệ ít hơn.

Việc chẩn đoán những trường hợp ung thư này đòi hỏi sự đánh giá toàn diện, phụ thuộc sự thăm khám lâm sàng, bệnh sử, kết quả xét nghiệm mô bệnh học, hoá mô miễn dịch và chất chỉ điểm khối u... Các kỹ thuật chẩn đoán cơ bản bao gồm những phương pháp dễ tiếp cận và phổ biến như siêu âm, nội soi, chụp cắt lớp vi tính, cộng hưởng từ,... Nhưng những phương pháp chẩn đoán hình thái này trong một số trường hợp có độ nhạy và độ đặc hiệu chưa cao, không tìm thấy tổn thương nguyên phát.

Đó chính là lý do vì sao cần có một phương pháp có thể hỗ trợ các kỹ thuật khác để chẩn đoán nhanh, chính xác, với độ nhạy và độ đặc hiệu cao trong việc xác định vị trí của ung thư nguyên phát. PET/CT là kỹ thuật có thể đảm bảo được các yêu cầu đó.

Nguyên lý cơ bản của kỹ thuật chụp PET/CT là ghi lại hình ảnh chuyển hóa trong tế bào (ở mức độ phân tử, mức độ tế bào). Sau đó ghi lại hình ảnh bằng máy PET/CT sẽ cho chúng ta thông tin về các thay đổi chuyển hóa của tế bào tổ chức (bằng máy PET), vừa xác định được vị trí chính xác của tổn thương (bằng máy CT).

PET/CT có tác dụng đặc biệt đối với ung thư. Tại những tổ chức bệnh lý sẽ tập trung hoạt tính phóng xạ cao hơn tổ chức lành xung quanh. Mặt khác, các hoạt động chuyển hóa trong các tổ chức ung thư thường xuất hiện sớm hơn nhiều so với những thay đổi về cấu trúc. Các phương pháp chẩn đoán hình ảnh như chụp cắt lớp vi tính (CT), cộng hưởng từ (MRI), siêu âm... chỉ phát hiện và đánh giá được các tổn thương đã có những thay đổi về cấu trúc giải phẫu ở mức độ đủ lớn. Các phương pháp này thường gặp khó khăn hoặc dễ bỏ sót các tổn thương có đường kính < 1cm. Trong khi đó chụp hình toàn thân bằng PET/CT có thể phát hiện được các bất thường về chuyển hóa, ghi được những hình ảnh bệnh lý sớm, còn nhỏ thậm chí  khi chưa có thay đổi về cấu trúc là khi tổ chức ung thư phải bị phá hủy ở một mức độ đủ lớn thì các thiết bị này mới có thể phát hiện được (quan sát được bằng mắt thường). Sự kết hợp giữa máy PET và máy CT hai trong một là một thành quả to lớn của nền y học thế giới giúp cho chúng ta có thể chẩn đoán bệnh ung thư sớm và chính xác.

 Ở những bệnh nhân ung thư sau phẫu thuật, xạ trị, hóa trị các tổn thương có thể biến dạng, thay đổi cấu trúc nên hình ảnh CT, MRI có nhiều hạn chế trong việc xác định các tổ chức còn sót, không phân biệt được tổ chức xơ hóa với tái phát, di căn...Kỹ thuật PET cho phép khắc phục nhược điểm đó của CT và MRI. Vì vậy độ nhạy, độ đặc hiệu để chẩn đoán ung thư của PET/CT cao hơn rất nhiều các phương pháp chẩn đoán hình ảnh khác, chính vì vậy hiệu quả kinh tế, xã hội của của PET và PET/CT là rất rõ rệt.

Sau đây là một trong hàng trăm ca lâm sàng đã được chẩn đoán bằng kỹ thuật chụp PET/CT tại Trung tâm Y học hạt nhân và Ung bướu, BV Bạch Mai.

Bệnh nhân Nguyễn Thị B., 48 tuổi, chẩn đoán: ung thư  biểu mô di căn hạch cổ chưa rõ nguyên phát. Bệnh nhân từ tháng 7 năm 2009 nổi hạch cổ phải, hạch to dần. Bệnh nhân đến Bệnh viện Bạch Mai làm xét nghiệm tế bào học hạch cổ phải, kết quả là tổn thương ác tính, nghĩ đến carcinoma không biệt hoá. Bệnh nhân được làm sinh thiết hạch cổ phải với kết quả giải phẫu bệnh là: hạch di căn của ung thư biểu mô. Bệnh nhân nhập viện và được làm các xét nghiệm chẩn đoán cơ bản:

  • Các chỉ điểm khối u đều trong giới hạn bình thường: aFP=1,7ng/ml; CEA=1,2 ng/ml; CA19-9=19,2 U/ml; CA15-3=5,4 U/ml; CA 125=20 U/ml; CA72-4=0,9 U/ml.
  • Siêu âm vùng cổ và tuyến giáp: dọc cơ ức đòn chũm phải và trái có nhiều hạch to nhỏ kích thước nhỏ hơn 1,5cm.
  • Siêu âm ổ bụng và phần phụ không phát hiện tổn thương bất thường.
  • CT lồng ngực: không thấy hình ảnh bất thường.
  • Nội soi tai mũi họng: không phát hiện thấy tổn thương.
spect1.jpg
  • Nội soi đại tràng và nội soi dạ dày-tá tràng bình thường

Trường hợp này nếu dựa vào các thông tin trên, bệnh nhân được chẩn đoán là ung thư chưa rõ nguyên phát. Chúng tôi quyết định chụp PET/CT đối với bệnh nhân này tại Trung tâm Y học hạt nhân và Ung bướu, Bệnh viện Bạch Mai.

spect2.jpg

Hình 1: Hình ảnh PET tổng thể cho thấy các tổn thương tăng hấp thu
FDG bất thường tại các vị trí mũi tên

spect3.jpg

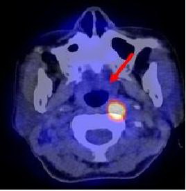
pet.jpg

Hình 2c: Hình PET/CT thấy tổn thưởng tăng hấp thu
FDG tại vùng vòng họng bên trái

spect4.jpg

Hình 3: Hình ảnh PET/CT cho thấy tổn thương di căn hạch cổ trái.

spect5.jpg

                                  Hình 4: Hình ảnh di căn hạch thượng đòn trái

Kết quả PET/CT: tổn thương tăng hấp thu FDG mạnh tại vòm họng bên trái, max SUV=11,8, các tổn thương di căn hạch tại vùng cổ bên phải và bên trái.

Trong khi đó kết quả nội soi vòm họng và CT không phát hiện thấy tổn thương u nguyên phát (CT-) bởi vì tổn thương ở mức độ chưa xâm lấn ra bề mặt niêm mạc vòm họng và mà mắt chưa thể nhận thấy được  qua  nội soi, CT...

Dựa vào các kết quả trên, bệnh nhân được chẩn đoán là ung thư vòm họng di căn hạch cổ hai bên. Đồng thời đánh giá được giai đoạn bệnh của bệnh nhân là T1N2M0, kế hoạch điều trị tiếp theo là xạ trị phối hợp hoá trị.

Như vậy, ghi hình bằng máy PET/CT đã giúp ích rất nhiều trong việc chẩn đoán,  phát hiện tổn thương ung thư nguyên phát một cách chính xác, nhanh chóng, hiệu quả mà các xét nghiệm khác như CT, MRI... chưa phát hiện được.

PGS TS. Mai Trọng Khoa , Bs Nguyễn Xuân Thanh, Bs Trần Hải Bình
Trung tâm Y học hạt nhan và Ung bướu, Bệnh viện Bạch Mai


Banner 1Banner 2