Ngày đăng: 06/01/2026Tác giả: Nguyên Hà – Khánh LinhCác bác sĩ Khoa Mắt - Bệnh viện Bạch Mai, vừa tiếp nhận và phát hiện một ca bệnh cho thấy những bất thường ở mắt có thể là “chìa khóa” phát hiện bệnh lý nghiêm trọng toàn thân. U tuyến yên là một trong những bệnh lý có liên quan tới bất thường ở mắt.
Nhìn mờ kéo dài - dấu hiệu không thể chủ quan
Bệnh nhân 44 tuổi, Hà Nội, đến khám tại Khoa Mắt vì nhìn mờ, giảm thị lực trong vài tháng, nhưng không kèm đau nhức hay biểu hiện cấp tính.
Khi đo thị lực bằng bảng chữ cái nhìn xa, các bác sĩ nhanh chóng nhận thấy người bệnh chỉ đọc được các chữ phía mũi, trong khi hoàn toàn không nhìn thấy phần bảng chữ phía thái dương. Dấu hiệu này khiến bác sĩ nghi ngờ tình trạng khuyết thị trường do tổn thương thần kinh thị giác.
Kết quả đo thị trường cho thấy khuyết hoàn toàn nửa thị trường phía thái dương ở cả hai mắt (khuyết thị trường hai bên). Hình ảnh chụp đáy mắt ghi nhận đĩa thị bạc màu – biểu hiện của tổn thương thần kinh thị giác kéo dài, cho thấy các tế bào thần kinh đã bị ảnh hưởng trong một thời gian dài.

Bệnh nhân thăm khám tại Khoa Mắt
Đây là triệu chứng điển hình của các bệnh lý chèn ép giao thoa thị giác (vùng bắt chéo của dây thần kinh thị giác tại nền sọ), trong đó nguyên nhân thường gặp nhất là u tuyến yên.
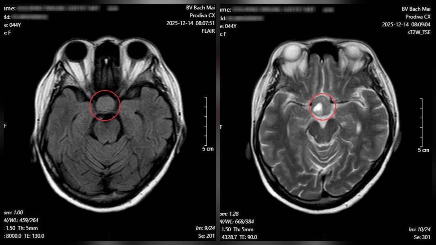
U tuyến yên kích thước lớn được phát hiện nhờ khám mắt
Từ những dấu hiệu trên, bệnh nhân được chỉ định chụp cộng hưởng từ (MRI) sọ não. Kết quả cho thấy một khối u tuyến yên kích thước lớn (macroadenoma), kích thước 26 × 21 mm.
Ngay sau đó, người bệnh được chuyển khám chuyên khoa Phẫu thuật Thần kinh, được tư vấn phương án điều trị và lên kế hoạch phẫu thuật nhằm tránh những biến chứng nặng nề hơn.

Kết quả chụp cộng hưởng từ (MRI) sọ não cho thấy một khối u tuyến yên kích thước lớn
Đôi mắt không chỉ là “cửa sổ tâm hồn” mà còn là “tấm gương phản chiếu sức khỏe toàn thân”. Nhiều bệnh lý nguy hiểm có thể biểu hiện sớm qua các dấu hiệu ở mắt như: Nhìn mờ, giảm thị lực không rõ nguyên nhân; Thu hẹp tầm nhìn (khuyết thị trường); Thay đổi cảm nhận màu sắc; Nhìn tối, nhìn mờ tăng dần theo thời gian.
Đặc biệt, khuyết thị trường thường tiến triển âm thầm, người bệnh rất khó tự nhận ra, chỉ phát hiện khi tình trạng đã nặng. Trường hợp của người bệnh trên là một ví dụ điển hình: chỉ đi khám khi thị trường hai mắt đã khuyết hoàn toàn, ảnh hưởng nghiêm trọng đến sinh hoạt và chất lượng cuộc sống.
Các bác sĩ Mắt khuyến cáo, người dân không nên chủ quan với tình trạng nhìn mờ kéo dài, dù không đau nhức. Khám mắt định kỳ, đặc biệt khi có cảm giác “nhìn vẫn rõ nhưng thiếu một phần tầm nhìn”. Khi cần thiết, nên thực hiện các thăm dò chuyên sâu như đo thị trường để phát hiện sớm bất thường
Với trang thiết bị hiện đại và các kỹ thuật thăm dò chức năng chuyên sâu, Khoa Mắt, Bệnh viện Bạch Mai có thể phát hiện sớm các tổn thương thần kinh thị giác, từ đó tìm ra nguyên nhân, phối hợp đa chuyên khoa và điều trị kịp thời, giúp người bệnh tránh nguy cơ mất thị lực vĩnh viễn và những biến chứng nặng nề khác.
Nhìn mờ không đơn giản chỉ là bệnh về mắt. Đừng chờ đến khi “không còn nhìn thấy” mới đi khám.