Ngày đăng: 15/04/2026Tác giả: BSCKII. Nguyễn Thị Cẩm VânSâu răng là bệnh lý phổ biến, không xuất hiện đột ngột mà thường khởi phát âm thầm ở giai đoạn sớm và dễ bị bỏ qua. Đây chính là “thời điểm vàng” để can thiệp, giúp phục hồi tổn thương mà không cần các biện pháp xâm lấn như khoan hay hàn răng.
Sâu răng giai đoạn sớm là gì?
Sâu răng giai đoạn sớm là tình trạng tổn thương mới khu trú ở lớp men răng, chưa hình thành lỗ sâu. Dưới tác động của vi khuẩn và các sản phẩm chuyển hóa từ đường, men răng bị mất khoáng dần.
Tuy nhiên, nếu được phát hiện kịp thời, tổn thương này hoàn toàn có thể phục hồi thông qua quá trình tái khoáng, góp phần bảo tồn cấu trúc răng tự nhiên và giảm chi phí điều trị.
Dấu hiệu nhận biết
Ở giai đoạn sớm, các biểu hiện thường không rõ ràng:
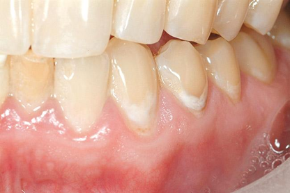
Xuất hiện đốm trắng đục trên bề mặt răng, nhất là vùng cổ răng, mặt ngoài răng cửa hoặc hố rãnh răng hàm.
Mất độ bóng tự nhiên, bề mặt răng trở nên thô ráp.
Có thể ê nhẹ khi ăn đồ lạnh hoặc ngọt, nhưng nhiều trường hợp không có triệu chứng.
Chính vì vậy, việc quan sát răng thường xuyên và khám răng định kỳ đóng vai trò rất quan trọng.

Phương pháp chẩn đoán
Các tổn thương sâu răng giai đoạn sớm được phát hiện bằng nhiều phương pháp:
Khám lâm sàng: Làm khô bề mặt răng để phát hiện đốm trắng đặc trưng.
Thiết bị hỗ trợ hiện đại: Laser huỳnh quang, ánh sáng xuyên sợi (DIFOTI), đo điện trở men răng.
Trong đó, laser huỳnh quang được đánh giá có độ chính xác cao (trên 90%), đặc biệt với các tổn thương ẩn.
Kỹ thuật DIFOTI giúp phát hiện sớm tổn thương mặt bên và vết nứt trước khi thấy trên X-quang.
Kỹ thuật QLF hỗ trợ đánh giá mức độ mất khoáng và theo dõi quá trình tái khoáng.
Điều trị không xâm lấn
Nguyên tắc điều trị sâu răng giai đoạn sớm là bảo tồn tối đa và không xâm lấn. Các phương pháp chính bao gồm:
Tái khoáng hóa:
Vecni NaF 5% (3-6 tháng/lần)
Gel fluor photphat axit hóa (APF) 1,23%
Nước súc miệng NaF 0,2% (hàng tuần)
Trám bít hố rãnh: Áp dụng với tổn thương chưa tạo lỗ sâu.
Kỹ thuật thẩm thấu nhựa (ICON): Ngăn chặn tiến triển tổn thương mà không cần khoan răng.
Điều trị dự phòng
Phòng ngừa đóng vai trò then chốt trong kiểm soát sâu răng:
Sử dụng fluor đúng cách - biện pháp hiệu quả hàng đầu.
Trám bít hố rãnh dự phòng.
Kiểm soát chế độ ăn, hạn chế đồ ngọt.
Khám răng định kỳ để phát hiện và xử trí sớm.
Khuyến cáo từ chuyên gia
Sâu răng giai đoạn sớm tuy không gây đau đớn nhưng là dấu hiệu cảnh báo quan trọng đối với sức khỏe răng miệng. Việc phát hiện và can thiệp kịp thời không chỉ giúp bảo tồn răng mà còn góp phần hình thành thói quen chăm sóc răng miệng tốt trong cộng đồng.
| Người dân có nhu cầu khám và điều trị chuyên khoa có thể đăng ký tại Khoa Răng Hàm Mặt - Bệnh viện Bạch Mai 📍 Nhà K1 (Phòng 423) hoặc Nhà F, số 78 Giải Phóng, Hà Nội 📞 Hotline: 0869 587 708 |