Ngày đăng: 04/03/2026Tác giả: BSCKII. Lê Bảo TrâmBạn có từng bị chảy máu khi đánh răng? Đừng chủ quan! Đây có thể là dấu hiệu của viêm lợi - bệnh lý răng miệng rất phổ biến nhưng hoàn toàn có thể điều trị khỏi nếu phát hiện sớm.
1. Viêm lợi là gì?
Viêm lợi là tình trạng viêm ở phần lợi bao quanh răng. Bệnh gặp ở mọi lứa tuổi, chiếm hơn 80% dân số. Nếu được điều trị kịp thời và chăm sóc đúng cách, viêm lợi có thể khỏi hoàn toàn

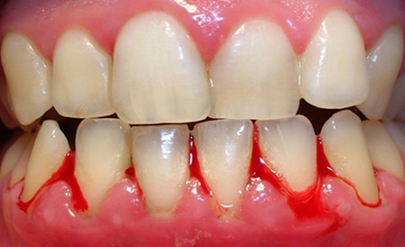
Viêm lợi chảy máu chân răng
2. Nguyên nhân thường gặp
§ Mảng bám, cao răng chứa vi khuẩn.
§ Vệ sinh răng miệng chưa đúng cách.
§ Sâu răng, răng mọc lệch.
§ Thay đổi nội tiết (tuổi dậy thì, mang thai, kinh nguyệt).
§ Một số bệnh toàn thân (tiểu đường, bệnh máu).
§ Tác dụng phụ của thuốc.
§ Dị ứng thực phẩm, kem đánh răng, nước súc miệng…
3. Dấu hiệu nhận biết
§ Triệu chứng thường gặp:
§ Chảy máu khi đánh răng hoặc xỉa răng.
§ Lợi sưng, đỏ.
§ Hôi miệng.
§ Đau nhẹ vùng lợi.
§ Khi khám răng có thể thấy:
§ Cao răng, mảng bám.
§ Lợi mềm, dễ chảy máu.
§ Một số bất thường về răng hoặc miếng trám.

Bác sĩ chuyên khoa Răng hàm mặt thăm khám cho bệnh nhân
4. Điều trị viêm lợi
✔ Điều trị tại cơ sở y tế:
Lấy cao răng, làm sạch mảng bám.
Điều trị các nguyên nhân gây kích thích lợi.
Dùng thuốc theo chỉ định của bác sĩ khi cần.
✔ Chăm sóc tại nhà:
Đánh răng đúng cách, ít nhất 2 lần/ngày.
Sử dụng chỉ nha khoa hoặc tăm nước.
Súc miệng phù hợp theo tư vấn.
Ăn uống đủ chất, tăng sức đề kháng.
5. Phòng ngừa viêm lợi
Giữ vệ sinh răng miệng tốt mỗi ngày.
Khám răng định kỳ 6 tháng/lần.
Điều trị sớm sâu răng và các bệnh răng miệng khác.
|
📍 Khám chuyên khoa Răng Hàm Mặt Tòa nhà K1 - Bệnh viện Bạch Mai Số 78 Giải Phóng - Phường Kim Liên - Hà Nội Thời gian: 7h30-16h30 (Thứ 2-Thứ 6) Điện thoại: 0869 587 708 |