Ngày đăng: 09/04/2026Tác giả: Nguyễn Thị Ngọc, Lê Doãn Trí, Trần Đức Huy, Nguyên HàCác bệnh lý gan mật, từ tổn thương lành tính đến ung thư gan, đang có xu hướng gia tăng tại Việt Nam, đặc biệt trên nền viêm gan virus và bệnh gan mạn tính. Trong bối cảnh đó, phát hiện sớm và xác định chính xác bản chất tổn thương là yếu tố quyết định hiệu quả điều trị. Kỹ thuật chụp cộng hưởng từ (MRI) gan mật với thuốc đối quang từ đặc hiệu tế bào gan tại Bệnh viện Bạch Mai được đánh giá là bước tiến quan trọng, góp phần nâng cao độ chính xác trong chẩn đoán.
“Chìa khóa” giúp nhận diện rõ tổn thương gan
Chụp cộng hưởng từ (MRI) là phương pháp chẩn đoán hình ảnh hiện đại, sử dụng từ trường và sóng vô tuyến để tạo ra hình ảnh chi tiết các cơ quan trong cơ thể mà không sử dụng tia X.
Trong đánh giá gan mật, việc kết hợp thuốc đối quang từ đặc hiệu tế bào gan mang lại giá trị vượt trội. Khác với các thuốc đối quang từ thông thường, loại thuốc này có khả năng được tế bào gan hấp thu và bài tiết qua cả đường mật và thận.
Nhờ đó, kỹ thuật không chỉ cung cấp hình ảnh cấu trúc mà còn phản ánh chức năng của tế bào gan và hệ thống đường mật - yếu tố đặc biệt quan trọng trong phân tích bản chất tổn thương.

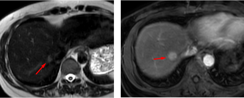
Hình ảnh bệnh nhân chụp MRI gan mật với thuốc đối quang từ đặc hiệu tế bào gan
Tăng khả năng phát hiện sớm ung thư và tổn thương nhỏ
Theo các chuyên gia Viện Điện quang chẩn đoán và can thiệp, MRI gan mật với thuốc đối quang từ đặc hiệu tế bào gan cho phép khảo sát đầy đủ cả hai giai đoạn: thì động học mạch máu và thì gan mật đặc hiệu sau tiêm thuốc, từ đó đánh giá toàn diện tổn thương.
Điểm nổi bật của phương pháp là khả năng phát hiện các tổn thương gan rất nhỏ, kể cả những tổn thương mà chụp CT hoặc MRI thông thường có thể bỏ sót. Đặc biệt, kỹ thuật hỗ trợ phân biệt rõ giữa các tổn thương lành tính (như tăng sản nốt khu trú, u tuyến gan) và tổn thương ác tính như ung thư biểu mô tế bào gan (HCC).
Ngoài ra, phương pháp còn có giá trị trong phát hiện di căn gan, đánh giá hệ thống đường mật và định hướng chiến lược điều trị cho từng người bệnh.
Một số nghiên cứu cho thấy, với các tổn thương kích thước ≤2 cm, MRI sử dụng thuốc đối quang từ đặc hiệu tế bào gan có thể đạt độ nhạy khoảng 87%, cao hơn so với CT (khoảng 73%). Một nghiên cứu lâm sàng cũng ghi nhận kỹ thuật này phát hiện thêm tổn thương ở khoảng 16% người bệnh, qua đó có thể làm thay đổi đánh giá giai đoạn bệnh và chỉ định điều trị triệt căn như đốt u, cắt gan hoặc ghép gan.
Quy trình chuẩn hóa, bảo đảm an toàn
Tại Bệnh viện Bạch Mai, quy trình chụp MRI gan mật với thuốc đối quang từ đặc hiệu tế bào gan được thực hiện theo tiêu chuẩn chặt chẽ. Người bệnh được khai thác tiền sử, đánh giá chỉ định, hướng dẫn loại bỏ vật dụng kim loại và chuẩn bị đặt đường truyền tĩnh mạch.
Quá trình chụp bao gồm các chuỗi xung cơ bản trước tiêm, sau đó tiêm thuốc đối quang từ và tiếp tục ghi nhận hình ảnh ở các thì khác nhau, đặc biệt là thì gan mật sau khoảng 15–20 phút. Toàn bộ dữ liệu hình ảnh được xử lý và đọc kết quả bởi bác sĩ chuyên khoa chẩn đoán hình ảnh.

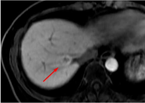
Hình ảnh tổn thương gan không rõ bản chất khi chụp MRI thường

Hình ảnh tổn thương gan giữ thuốc đối quang từ đặc hiệu tế bào gan thì gan mật, gợi ý tính chất của tăng sản thể nốt khu trú (FNH)
An toàn cao, góp phần thay đổi chiến lược điều trị
Một trong những ưu điểm nổi bật của phương pháp là không sử dụng tia X, do đó không gây nhiễm xạ cho người bệnh. Thuốc đối quang từ đặc hiệu tế bào gan có tỷ lệ tác dụng phụ thấp; nếu có thường nhẹ và thoáng qua. Tuy nhiên, với người bệnh suy gan hoặc suy thận nặng, việc sử dụng cần được cân nhắc kỹ lưỡng theo chỉ định của bác sĩ chuyên khoa.
Thực tiễn lâm sàng cho thấy, MRI gan mật với thuốc đối quang từ đặc hiệu tế bào gan không chỉ giúp chẩn đoán chính xác mà còn đóng vai trò quan trọng trong lựa chọn phương pháp điều trị, theo dõi tiến triển bệnh và đánh giá hiệu quả sau can thiệp.
Đặc biệt, trong đánh giá di căn gan từ ung thư đại trực tràng, kỹ thuật này giúp bác sĩ ngoại khoa và ung bướu lập kế hoạch điều trị chính xác hơn. Một số nghiên cứu ghi nhận phương pháp có thể làm thay đổi loại điều trị ở khoảng 18% trường hợp và điều chỉnh phạm vi can thiệp tại chỗ ở khoảng 20% trường hợp.
Với hệ thống trang thiết bị hiện đại cùng đội ngũ bác sĩ giàu kinh nghiệm, Bệnh viện Bạch Mai đã triển khai hiệu quả kỹ thuật này trong thực hành lâm sàng. Đây được xem là một trong những bước tiến quan trọng trong chẩn đoán hình ảnh, góp phần nâng cao chất lượng điều trị và cải thiện tiên lượng cho người bệnh gan mật.